BRING YOUR OWN CASE: Osteoproduktive, monoostotische Knochenläsion bei einem Labrador Retriever

„Bring your own case“ ist ein besonderes Angebot der FRONTIER Kleintierspezialisten. Die beiden Gründer des Überweisungszentrums, Dr. Anna Adrian und Pieter Nelissen, bieten Kolleg:innen an, Spezialfälle aus der Praxis einzusenden, die dann mit den FRONTIER-Oberärzt:innen diskutiert werden. Besonders interessante Fälle werden dann jeden Monat in den Tierarztmagazinen KATZENMEDIZIN & HUNDERUNDEN veröffentlicht.

Liebes FRONTIER-Team!

Ich möchte gerne um Eure Einschätzung zu Röntgenaufnahmen des Thorax und des linken Humerus bitten. Es handelt sich um einen 10-jährigen, männlich kastrierten Labrador Retriever, der seit mehreren Monaten eine zunehmende Bewegungsunlust und Lahmheit der linken Vorderextremität zeigt. Anfangs trat die Lahmheit nur nach stärkerer Belastung auf und besserte sich nach Ruhephasen. Mittlerweile besteht jedoch seit etwa zwei Wochen eine progressive, hochgradige Lahmheit 4/4, ohne deutliche Besserung auf 2-wöchige Schmerzmedikation und Schonung. Der Besitzer berichtet zudem über eine deutliche Abnahme der Leistungsfähigkeit, vermehrte Müdigkeit und einen moderaten Gewichtsverlust. Bei der klinischen Untersuchung zeigte sich im Bereich des proximalen Humerus links eine deutliche Umfangsvermehrung, die sich derb und unregelmäßig anfühlt. Bei Palpation ruft diese Veränderung eine ausgeprägte Schmerzreaktion hervor. Der Hund schont die betroffene Gliedmaße weitgehend. Zusätzlich wird über gelegentliches Husten berichtet.

Dr. Anna Adrian, MS, DACVR, antwortet:

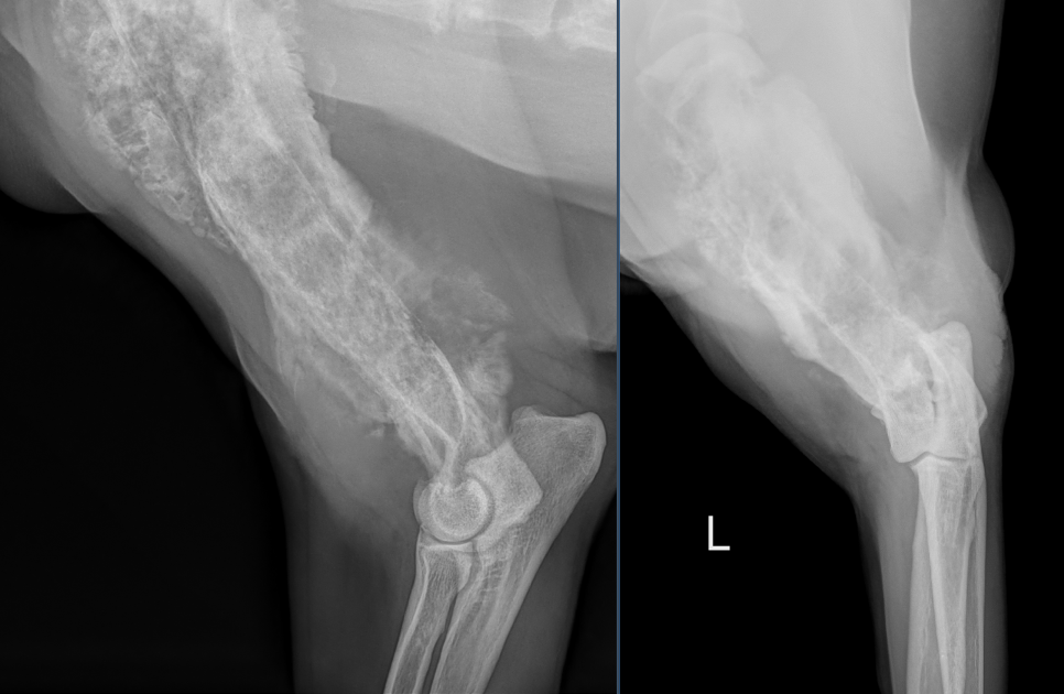
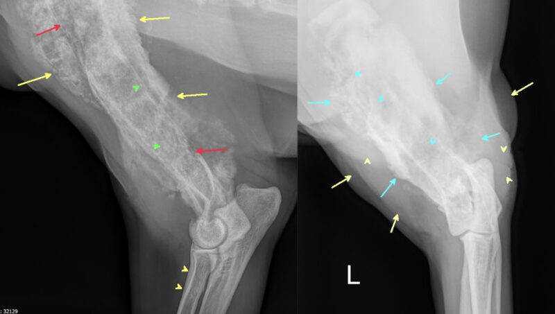
Vielen Dank für die Zusendung der Röntgenbilder. Ein wirklich eindrucksvoller Fall! Es liegen zwei Röntgenaufnahmen des linken Humerus, inkl. Ellbogengelenk, im medio-lateralen, sowie kaudo-kranialem Strahlengang vor. Begleitend besteht eine Röntgenaufnahme des Thorax in dextro-sinistralem Strahlengang (Abb. 1, Abb. 2). Im Röntgenbild der linken Vordergliedmaße zeigt sich im Bereich der gesamten Diaphyse des Humerus, bis in die angrenzenden metaphysären Abschnitte reichend, eine hochgradige, unregelmäßige osteoproliferative Reaktion (blaue Pfeile Abb. 3). Diese periostale Reaktion weist eine heterogene Röntgendichte auf. An ihrer ausgeprägtesten Stelle übersteigt die Proliferation den Durchmesser des normalen Humerus deutlich. Besonders an der kaudalen Humeruskontur besteht hochgradige, laminar geschichtete Knochenneubildung (gelbe Pfeile, Bild links).

Die Markhöhle (Medulla) erscheint hochgradig heterogen (blaue Pfeilköpfe). Entlang des Endosteums sind multifokale Irregularitäten (grüne Pfeilköpfe), sowie multifokale kortikale Lysen (rote Pfeile) sichtbar, die den Befund einer destruktiv-proliferativen Knochenerkrankung verdeutlicht. Eine pathologische Fraktur ist in den vorliegenden Aufnahmen nicht erkennbar.

Das umgebende Weichteilgewebe zeigt eine deutliche Umfangsvermehrung (hellgelbe Pfeile und Pfeilköpfe, Bild rechts). Zudem findet sich am proximalen Radius eine geringgradige, glattrandige periostale Reaktion (gelbe Pfeilköpfe, Bild links).

Im Thoraxröntgen zeigen sich in allen Lungenlappen multifokale, noduläre Weichteilverschattungen unterschiedlicher Größe, wobei die größte eine Länge von 3,8cm und eine Breite von 2,6cm aufweist (exemplarisch pinke Pfeile). Generalisiert besteht zudem vor allem in den kaudalen Lungenlappen geringgradige (pink gestrichelter Pfeil), sowie im akzessorischen Lungenlappen moderate unstrukturierte Lungenzeichnung. Die Herzsilhouhette ist generalisiert globoid vergrößert (pink gestrichelte Linien). Die kranialen Lungengefäße wirken prominent, sind jedoch kleiner als die proximale Breite im Bereich der vierten Rippe (pinke Pfeilköpfe). Mediastinale Strukturen, Pleuralraum, Trachea, Ösophagus, sowie sichtbare ossäre Anteile stellen sich ohne besonderen Befund dar.

FAZIT

Zusammenfassend handelt es sich bei der vorliegenden Veränderung am linken Humerus um eine aggressive, osteolytische, sowie osteoproduktive, monoostotische Knochenläsion. Die Thorax-Aufnahme zeigt ein hochgradig generalisisertes, noduläres Lungenmuster, sowie unstrukturierte, interstitielle Lungenzeichnung. Differentialdiagnosen beinhalten ein pulmonal metastasierter Knochentumor (zB. Osteosarkom) des linken Humerus oder eine hochgradige Osteomyelitis mit pulmonären Granulomen, die durch den Erreger Hepatozoon canis, durch Pilze oder seltener Bakterien verursacht werden kann. Weniger wahrscheinlich ist ein anderer maligner Prozess, der sowohl in die Lunge, als auch den Knochen gestreut hat.

Das globoide Herz kann auf einen Perikarderguss hinweisen, jedoch kann eine Kardiomegalie anderer Genese gepaart mit einer Aufnahme in Diastole nicht ausgeschlossen werden.

Die radiologische Beurteilung einer Knochenläsion zielt in erster Linie darauf ab, zwischen einem aggressiven Prozess (Tumor oder Infektion) und einem nicht aggressiven Prozess wie einer Knochenzyste zu unterscheiden. Zur Einschätzung der Aggressivität werden drei Hauptmerkmale herangezogen:

  1. Integrität der Kortikalis
  2. Art der periostalen Reaktion
  3. Deutlichkeit der Übergangszone zwischen der Läsion und dem gesunden Knochen.

Eine Knochenläsion gilt bereits dann als aggressiv, wenn mindestens eines der folgenden Zeichen vorliegt:

  • Zerstörung der Kortikalis
  • aktive periostale Reaktion
  • unscharfe Übergangszone

Das Vorhandensein eines einzigen dieser Kriterien reicht aus, um eine Läsion radiologisch als aggressiv einzustufen. Unter den primären Knochentumoren des Hundes ist das Osteosarkom die mit Abstand am häufigsten auftretende Form. Typischerweise handelt es sich um eine monoostotische, aggressive Knochenläsion, die ihren Ursprung in der Metaphyse langer Röhrenknochen hat.

Bevorzugte Lokalisationen beim Hund sind:

  • Vordergliedmaßen: proximaler Humerus, distaler Radius („vom Ellenbogen weg“)
  • Hintergliedmaßen: distaler Femur, proximale Tibia („zum Knie hin“)

Radiologisch können Osteosarkome oteolytisch, osteoproduktiv oder – am häufigsten – gemischt erscheinen. Andere, seltener vorkommende Tumoren sind das Fibrosarkom und das Chondrosarkom, wobei letzteres häufig an Rippen oder am Schulterblatt lokalisiert.

Neben Tumoren kann auch eine Infektion Ursache aggressiver Knochenveränderungen sein. Eine besondere Rolle spielt hierbei die Hepatozoonose, eine seltene Protozoeninfektion, die beim Hund zu polyostotischen, aggressiven Läsionen führen kann.

Die Krankheit ist weltweit verbreitet, tritt jedoch besonders häufig im südlichen Teil der USA auf. Radiologisch zeigen sich die durch Hepatozoon-Infektionen verursachten Veränderungen vorwiegend periostal und gerne an der proximalen Gliedmaße. Sie reichen von einer unregelmäßigen periostalen Proliferation bis hin zu einer glatten, lamellären Verdickung des Periosts. Um eine definitive Antwort zu erhalten, wären im nächsten Schritt eine Knochenbiopsie und mögliche Gewebeprobe einer der Lungenknoten in Betracht zu ziehen. Leider ist der Krankheitsprozess schon weit fortgeschritten.