Normales Iliosakralgelenk oder Luxation?

Tipps zur Auswertung der Röntgenbilder.

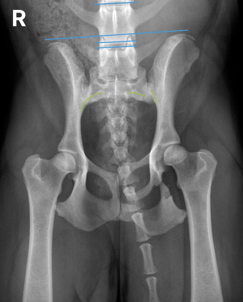
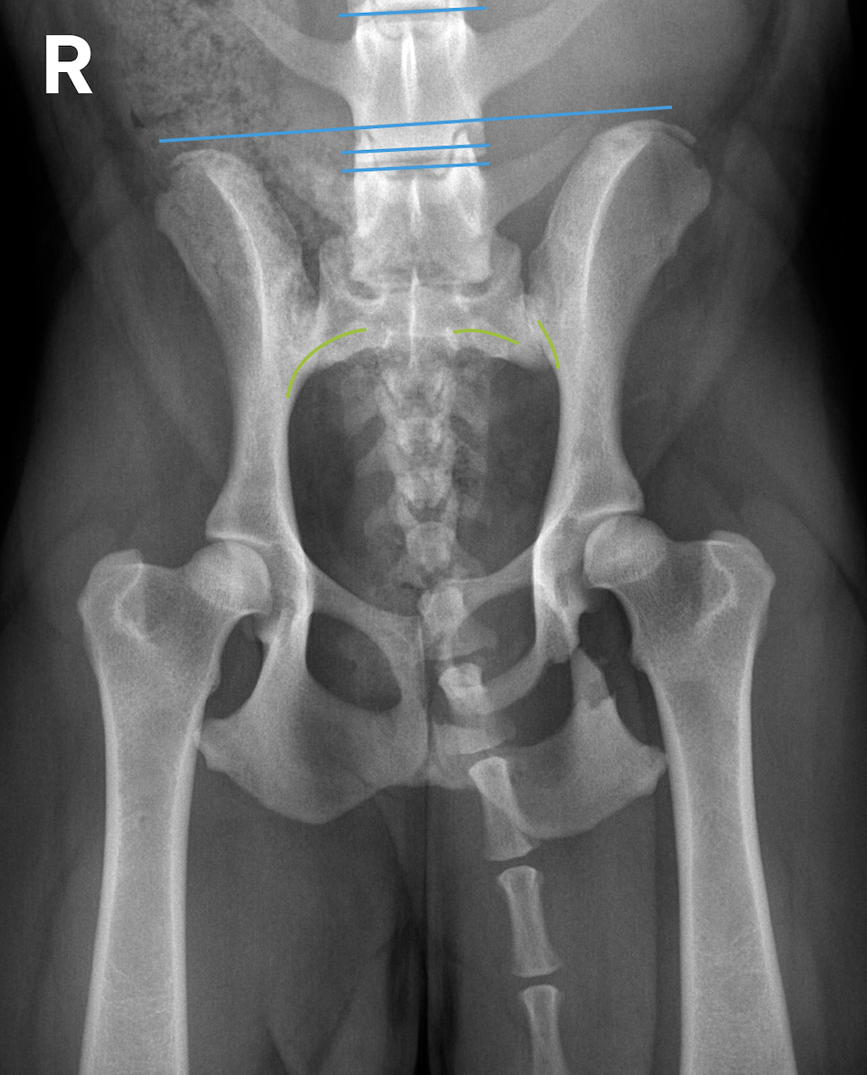
In Folge eines Autounfalls erlitt ein 2 Jahre alter Podenco (weiblich) ein Trauma und kann seitdem nicht mehr gehen. Auch stehfähig ist der Patient nur mit Unterstützung. Der klinische Befund ist links schlechter als rechts. Der Röntgenbefund zeigt eine Schambein- und Sitzbeinfraktur links mit Symphysenfraktur bzw. Symphysiolyse. Zu erkennen ist eine bilaterale iliosakrale Luxation mit langerungsbedingt variabler Darstellung. Die Aufnahmen geben damit Antwort auf die nach einem Unfall häufige Frage, ob das Iliosakralgelenk luxiert ist und eine Diastase vorliegt oder nicht. Eine normale anatomische Situation zeigt stufenlose Gelenkflächenkonturen von Darmbein (Ilium) und Sakrumflügel sowie einen schmalen Gelenkspalt.

Definition: Die Luxation eines straffen Gelenks wird auch Diastase (Auseinanderstehen) genannt. Beispiel: iliosakrale Diastase. Das Trauma trifft die Patienten meist kaudal am Becken und disloziert das Becken meist nach kranial.

Der Befund ergibt eine iliosakrale Luxation bzw. Diastase. Die Stufe in den Konturen zeigt die Luxation des Darmbeins nach kranial (grün). Die Verbreiterung des Gelenkspalts zeigt die Dislokation des Darmbeins nach lateral (gelb).

Expert:innenrat

  • Leicht dislozierte Diastasen oder Sakrumfrakturen sind aufgrund von Überlagerungen beim Röntgen manchmal nicht zuverlässig zu sehen.
  • Ein Vergleich der Parallelität einer Tangente entlang der Darmbeinflügel mit Tangenten entlang der Endplatten der kaudalen Lendenwirbel kann leichte Asymmetrien aufdecken helfen.
  • Röntgenaufnahmen sind nur Momentaufnahmen und instabile Luxationen können beim Lagern zur bildgebenden Untersuchung (partiell) reponiert werden, wodurch eine Dislokation oder Instabilität manchmal unterschätzt werden kann.
  • In diagnostisch unklaren Fällen können komplementäre Röntgenbilder in Position 1 und 2 sowie die CT weiterhelfen.

Der Metacam® Fortbildungskalender 2025 bietet monatlich unterschiedliche Röntgen-Fallbeispiele und Expertentipps zur korrekten Interpretation."

"Mein Lila Kalender" powered by Boehringer Ingelheim Vetmedica

Tipp für die Praxis

Mit Hilfe der Dogs-3D-Joints-App von Metacam® haben Tierärzt:innen die Möglichkeit, Tierbesitzer:innen häufige Erkrankungen der Hüft-, Knie-, Ellenbogen- und Schultergelenke zu zeigen und ihre Erklärungen bildlich zu unterstützen. (www.dogs3djoints.com/de)

Die Dogs-3D-Joints-App nutzt moderne 3D-Technologie, um hochauflösende, interaktive Darstellungen der anatomischen Strukturen wiederzugeben."

Dogs-3D Joints-App, Boehringer Ingelheim