JUST4VETS +

Leptospirose – ein Erreger, viele Gesichter

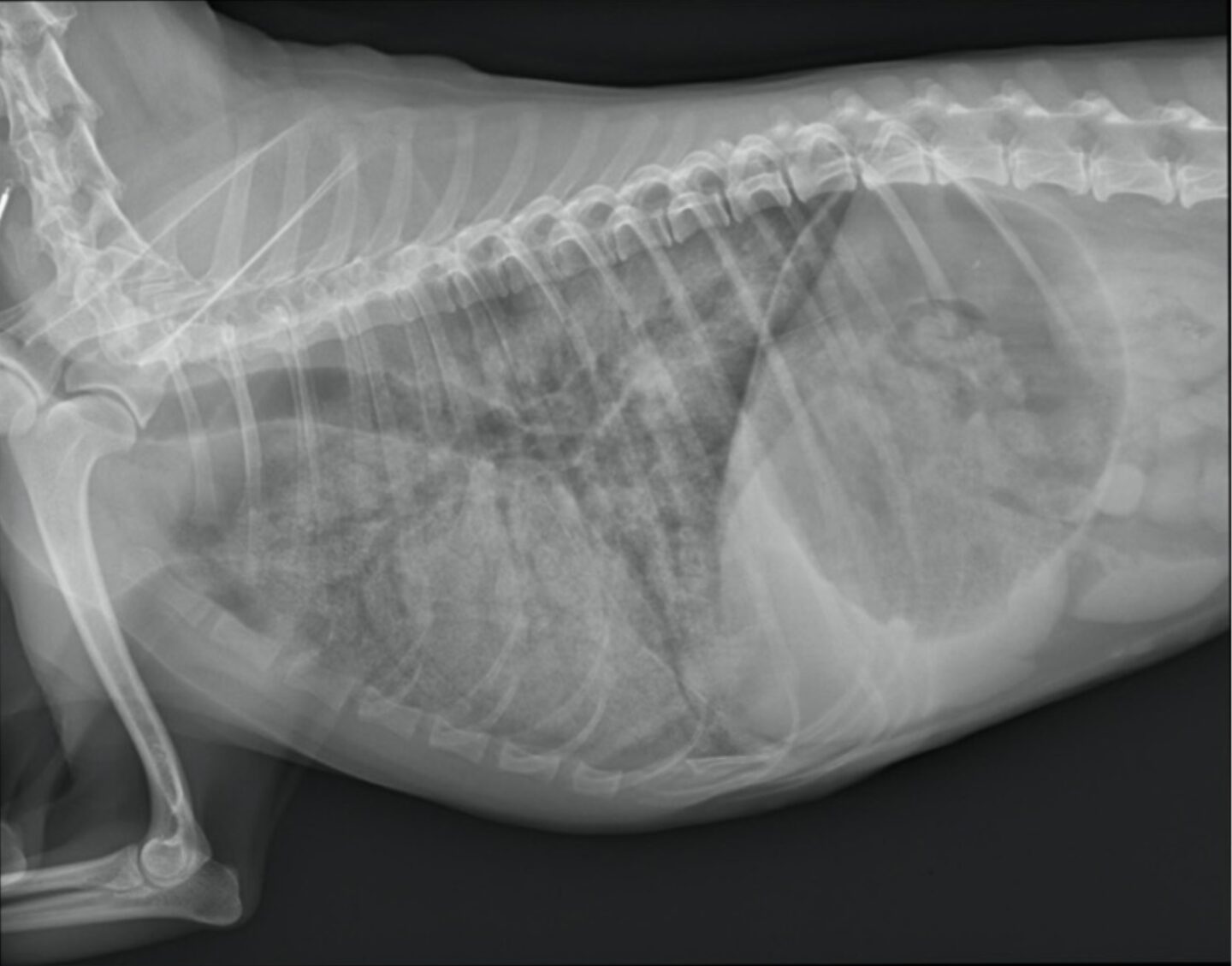
Die Leptospirose ist eine nahezu weltweit vorkommende Zoonose und kann eine Vielzahl von Lebewesen befallen: Infektionen sind bei über 150 Säugetieren, bei Reptilien, Fischen und Amphibien beschrieben – sie alle stellen ein potentielles Reservoir für Infektionen bei Menschen da. Für Tierärzte ist die Infektion beim Hund die relevanteste, da es hier zu schweren und lebensbedrohlichen Verläufen kommen kann.

Es werden über 260 pathogene Serovare unterschieden, die, basierend auf den Oberflächen-Antigenen, in 26 Serogruppen eingeteilt werden. Seit Einführung des bivalenten Impfstoffes gegen die S

Jetzt kostenlos registrieren
und weiterlesen

Um diesen Beitrag weiterlesen zu können, müssen Sie Tierarzt oder Tierärztin sein und sich registrieren. Wir schalten Sie nach entsprechender Prüfung umgehend frei.

Zur Anmeldung