Kardiologische Diagnostik beim Hund - Grundlage für eine optimale Therapie

Die derzeit verfügbaren diagnostischen Möglichkeiten in der Kardiologie ermöglichen eine individuell optimierte, an das jeweilige Krankheitsstadium angepasste Behandlung vieler Herzerkrankungen. Mittels Echokardiografie können die Schwere einer Klappenerkrankung, das kardiale Remodeling, die intrakardialen Druckverhältnisse und die Myokardfunktion eingeschätzt und die Therapie individuell erstellt werden. Eine dauerhafte unkritische Verabreichung von Medikamenten bei Patienten mit Herzgeräusch oder röntgenologischem Verdacht auf Herzvergrößerung ohne korrekte Diagnostik ist strikt abzulehnen.


Welche Untersuchungen sind bei einem jungen Hund mit Herzgeräusch sinnvoll?

Die echokardiografische Untersuchung ermöglicht eine eindeutige Diagnosestellung. Hunde mit angeborenen Herzfehlern zeigen kaum Symptome vor Entwicklung eines Herzversagens. Ein angeborener Ductus arteriosus Botalli persistens sollte immer frühzeitig verschlossen werden, bei hochgradigen Pulmonalstenosen ist eine Ballonkatheterdilatation sinnvoll, ehe das Myokard größere Folgeschäden aufweist. Hingegen bedürfen viele leichte und mittelgradige Aorten- oder Pulmonalstenosen wie auch kleinere Ventrikelseptumdefekte lange Zeit keiner Therapie.


Welche Untersuchungen sind bei einem älteren Hund mit Herzgeräusch sinnvoll?

Bei älteren Hunden mit Herzgeräusch ist ebenfalls die echokardiografische Untersuchung indiziert, um eine eindeutige Diagnose (eine oder beide AV-Klappen erkrankt? Liegt eine dilatative Kardiomyopathie vor? Sind zusätzlich angeborene Herzfehler vorhanden?) und ein Staging der Herzerkrankung zu erhalten. Ferner ist eine Blutdruckmessung sinnvoll, sowie in vielen Fällen eine Blutuntersuchung, um zusätzliche Organerkrankungen zu erfassen.
Immer wenn Atemwegssymptomen, wie beispielsweise Husten, vorhanden sind, sollten hochwertige inspiratorische Thoraxröntgenaufnahmen in zwei Ebenen angefertigt werden, da viele Rassen mit Prädisposition zu AV-Klappenendokardiose auch für Atemwegserkrankungen prädisponiert sind (Bronchitis, Trachealkollaps, Lungenfibrose, Brachycephalen-Syndrom etc.).

Häufig werden röntgenologische Lungenverdichtungen als Folge einer Atemwegserkrankung jedoch als Lungenödem fehlgedeutet. Die röntgenologische Beurteilung der Herzgröße wird durch unterschiedliche Thoraxformen bei verschiedenen Hunderassen erschwert, empfehlenswert ist eine Ermittlung des Vertebral Heart Score, VHS, nach Buchanan u. Bucheler. Allerdings ist eine Unterscheidung von Rechts- und Linksherzvergrößerung auch dabei nicht exakt möglich.

Degenerative Mitralklappeninsuffizienz (MI)


Die degenerative Mitralklappeninsuffizienz (MI) stellt beim Hund die Hauptursache für ein kongestives Herzversagen und kardial bedingten Tod dar. Im Krankheitsverlauf vergrößert sich mit zunehmender Schwere der Klappeninsuffizienz zunehmend der linke Vorhof und das diastolische Ventrikelvolumen nimmt zu, während das systolische Ventrikelvolumen erst mit nachlassender Kontraktilität bei Entwicklung einer Volumenüberlastungskardiomyopathie zunimmt. Bei kleineren Hunden unter 15 kg Körpergewicht ist dies oft erst später im Krankheitsverlauf der Fall, bei größeren Hunden über 15 kg hingegen häufig früher.
Nach derzeitigem Kenntnisstand ist bei MI eine Medikation immer erst dann sinnvoll, wenn bereits eine Herzvergrößerung vorliegt.

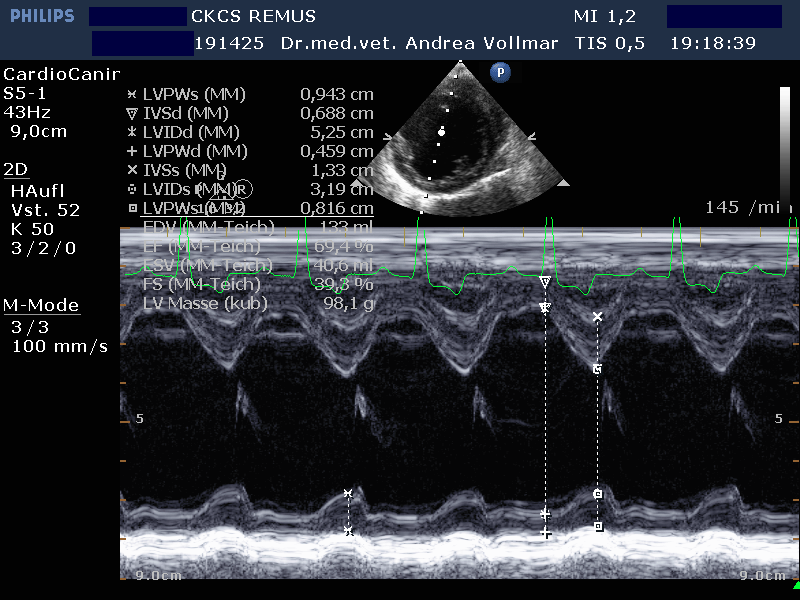
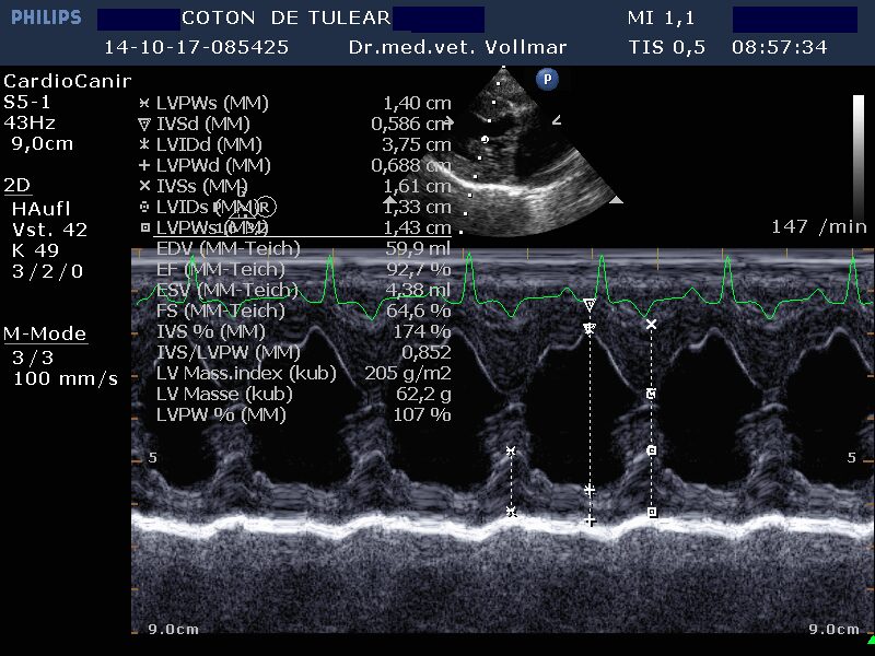
Am sichersten kann die Größe der einzelnen Herzabteilungen und der Schweregrad einer AV-Klappeninsuffizienz mit Hilfe der Echokardiografie beurteilt werden. Die Messung der Vorhofgröße vorzugsweise im 2D-Bild korreliert zuverlässig mit dem Ausmaß der MI. Mittels verschiedener Doppler- und Farbdoppler-Analysemethoden kann die Größe der Lücke in der Mitralklappe bestimmt und das regurgitierte Blutvolumen ermittelt werden.

Liegt eine Trikuspidalklappeninsuffizienz vor, bestimmt man anhand der Geschwindigkeit des Regurgitationsjets den arteriellen Lungendruck. Eine pulmonale arterielle Hypertonie (PAH) kann sich primär (idiopathisch) oder sekundär als Folge chronischer Lungen- oder Herz- und Gefäßerkrankungen entwickeln und beeinträchtigt Lebensqualität, Belastbarkeit und Lebenserwartung. Entsteht als Folge des Lungenhochdrucks eine Rechtsherzinsuffizienz, verschlechtert dies zusätzlich die Prognose.

Bei der dilatativen Kardiomyopathie kommt der Früherkennung mit früh einsetzender Therapie eine besondere Bedeutung zu. Bei der Mitralinsuffizienz ist eine Medikation hingegen immer erst indiziert, wenn eine Herzvergrößerung vorliegt. Viele Hunde mit Herzgeräusch husten wegen einer zusätzlichen Atemwegserkrankung."

Dr. Andrea Vollmar, Dipl. ECVIM (Cardiology)

Dilatativen Kardiomyopathie (DCM)

Bei der dilatativen Kardiomyopathie (DCM) ist die Herangehensweise anders als bei MI. Die DCM tritt bei vielen größeren Hunderassen als Erberkrankung auf und unterscheidet sich bei verschiedenen Hunderassen in vielerlei Hinsicht, so auch im klinischen Erscheinungsbild und im Verlauf. Als auskultatorisch hinweisende Befunde kommen bei einigen Rassen zwar früh im Krankheitsverlauf Arrhythmien in Form von Extrasystolen oder Vorhofflimmern vor, häufig ist die Auskultation aber unauffällig. Leise Herzgeräusche entstehen erst spät im Krankheitsverlauf mit Entwicklung einer sekundären AV-Klappeninsuffizienz durch Dilatation des Anulus fibrosus und Papillarmuskelatrophie Daher basiert die Früherkennung allein auf der echokardiografischen Untersuchung, je nach Rasse ergänzt durch EKG-Befunde bis hin zum 24-Stunden Holter-EKG.

Besonders betroffene Rassen wie Dobermänner, Deutsche Doggen, Irische Wolfshunde, sollten ab dem jungen Erwachsenenalter regelmäßig kardiologisch untersucht werden - nicht nur aus zuchthygienischen Gründen, sondern auch, um dem Individuum möglichst lange eine gute Lebensqualität zu ermöglichen und die Lebenserwartung zu verbessern. Wie Erfahrungen aus der Humanmedizin und inzwischen mehrere veterinärmedizinische Studien zeigen, muss das vorrangige Ziel sein, die Erkrankung möglichst früh im präklinischen Stadium zu diagnostizieren und eine frühzeitige Therapie zu beginnen.

Bei Dobermann Pinschern wurde gezeigt, dass durch einen frühen Therapiebeginn mit Pimobendan die Zeit bis zum kongestiven Herzversagens oder plötzlichen Herztod gegenüber Plazebo um median 5,2 Monate und die Überlebenszeit um 9,2 Monate verlängert werden konnte. Bei Irischen Wolfshunden, bei denen die Erkrankung erst im späten Krankheitsstadium mit Stauungserscheinungen diagnostiziert und therapiert wurde, starben fast 90% der Hunde an der Herzerkrankung mit einer medianen Überlebenszeit von 7,3 Monaten, während Hunde mit Therapiebeginn im präklinischen Stadium der DCM median etwa 22 Monate (Hunde mit zusätzlich Vorhofflimmern) bzw. 29 Monate (Hunde mit DCM und Sinusrhythmus bei Erstdiagnose) überlebten und mehr als die Hälfte dann an nichtkardialen Todesursachen starb.

Eine weitere Studie (Vollmar/Fox, Vet Int Med 2016) zeigte, dass eine Monotherapie mit Pimobendan bei Irischen Wolfshunden signifikant die Zeit bis zur Entwicklung eines kongestiven Herzversagens oder bis zum plötzlichen Herztod verlängerte (65,4 Monate) gegenüber einer Monotherapie mit Methyldogoxin (41,5 Monate) oder Benazepril (32,8 Monate).


Literatur:

Borgarelli M, Buchanan JW. Historical review, epidemiology and natural history of degenerative mitral valve disease. J Vet Cardiol. 2012;14:93‐101.

Boswood A, Häggström J, Gordon SG, et al. Effect of Pimobendan in dogs with preclinical myxomatous mitral valve disease and cardiomegaly: the EPIC study—a randomized clinical trial. J Vet Intern Med. 2016;30:1765‐1779.

Chetboul V, Lefebvre HP, Sampedrano CC et al. Comparative adverse cardiac effects of pimobendan and benazepril monotherapy in dogs with mild degenerative mitral valve disease: A prospective, controlled, blinded, and randomized study. J Vet Int Med. 2007;21:742-53.

Chetboul V, Pouchelon JL, Menard J, et al. Short‐term efficacy and safety of torasemide and furosemide in 366 dogs with degenerative mitral valve disease: the TEST study. J Vet Intern Med. 2017;31:1629‐1642.

Häggström J. et al (2008): Effect of Pimobendan or Benazepril Hydrochloride on Survival Times in Dogs with Congestive Heart Failure Caused by Naturally Occuring Myxomatous Mitral Valve Disease, The QUEST-Study, J Vet Intern Med 2008; 22:1124–1135.

Summerfield NJ, Boswood A, O'Grady MR et al. Efficacy of pimobendan in the prevention of congestive heart failure or sudden death in Doberman pinschers with preclinical dilated cardiomyopathy (the PROTECT Study). J Vet Int Med 2012;26:1337-49.

Vollmar AC, Fox PR. Long-term Outcome of Irish Wolfhound Dogs with preclinical cardiomyopathy, atrial fibrillation, or both treated with pimobendan, benazepril hydrochloride or methyldigoxin monotherapy. J Vet Int Med 2016;30(2):553-9.

Vollmar C, Vollmar A, Keene BW et al. Irish Wolfhounds with Subclinical Atrial Fibrillation: Progression of Disease and Causes of Death. Journal Vet Cardiol 24, 2019:48-57.

Vollmar C, Vollmar A, Keene BW et al.: Dilated cardiomyopathy in 151 Irish Wolfhounds: Characteristic clinical findings, life expectancy and causes of death. The Veterinary Journal 245, 2019:15-21.