Hustenpatientin Lola

Lola ist eine zehnjährige Mischlingshündin - sie wiegt elf Kilogramm. Der Hund wird wegen Husten und Polypnoe vorgestellt. Der Thorax der Hündin ist bereits geröngt worden, auf den Bildern ist eine fast generalisierte interstitielle Verdichtung des Lungengewebes zu sehen, der VHS liegt bei 11,5, die Lungengefäße sind schlecht abgrenzbar, erscheinen aber nicht verbreitert. Eine Blutuntersuchung (Blutbild und Blutchemie) liegt vor und ist unauffällig. In der allgemeinen Untersuchung präsentiert sich Lola weitestgehend unauffällig, die vorberichtliche Polypnoe ist aber gut erkennbar.

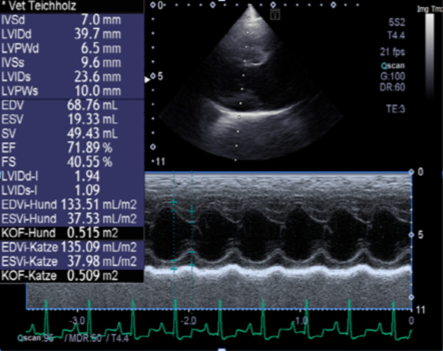
Kardiologische. Untersuchung

Auskultation: systolisches Herzgeräusch 3/6

Puls an der A. femoralis: regelmäßig, gleichmäßig, kräftig

Atmung: Polypnoe, ggr. gemischte Dyspnoe

EKG: Sinusrhythmus

Ultraschall: in der rechtsanliegenden Längsachse sind die linke Kammer und der linke Vorhof vergrößert; die rechten Kammern stellen sich unauffällig dar. Die Mitralklappe ist deutlich degenerativ verändert und prolabiert in den linken Vorhof. Die Maße des linken Ventrikels liegen in der Teichholzuntersuchung diastolisch oberhalb der Norm. LA/Ao liegt im M Mode und im B Bild oberhalb der Norm. In der Farbdoppler-sonographischen Untersuchung stellen sich Turbulenzen über der Mitral- und Trikuspidalklappe dar, die restlichen Flussmuster sind unauffällig Die systolische Funktion des linken Ventrikels ist gesteigert, die diastolische Funktion ist deutlich reduziert, die gemessenen Flussgeschwindigkeiten liegen sämtlich in der Norm. Die Rückflussgeschwindigkeit über der Mitralklappe liegt bei 5,8 m/s, der Rückfluss über der Trikuspidalklappe wird bei 3,0 m/s gemessen.

LVIDd-I

1,9

LVIDs-I

1,1

LA/Ao B-Bild

2,2

LA/Ao M-Mode

2,5

Diagnose: Mitralklappeninsuffizienz (CHIEF C2), Trikuspidalklappeninisuffizienz

Lola wird auf Quadripeltherapie gesetzt (Pimobendan, Spironolacton, Furosemid 2 x tgl. 1 mg/kg und Benazepril) und soll in drei Monaten zur nächsten Kontrolle vorgestellt werden.

Die Hündin wird bereits nach zwei Wochen erneut vorstellig. Husten und Polypnoe haben sich kaum gebessert - im Gegenteil zeigt die Hündin inzwischen zunehmende Dyspnoe. Die Röntgenaufnahmen des Thorax werden wiederholt – sie entsprechen den Vorgänger-Aufnahmen. Per Ultraschall werden die wichtigsten linksventrikulären und linksatrialen Parameter überprüft, und es werden die Flussgeschwindigkeiten über Mitral- und Trikuspidalklappe kontrolliert. Die linksventrikulären und linksatrialen Parameter zeigen ein gutes Ansprechen auf die Therapie, die Rückflussgeschwindigkeit über der Trikuspidalklappe liegt mittlerweile bei 3,4 m/s.

Die aktuelle Therapie wird erweitert, Lola erhält zusätzlich Aminophyllin (2 x tgl. 6 mg/kg) und Sildenafil 2 x tgl. 1,1 mg/kg.

Die Schwierigkeit in der Diagnostik und Therapie einer solchen Patientin liegt in der Gewichtung der einzelnen Erkrankungen und in der Kombination der einzelnen therapeutischen Ansätze."

Dr. Barbara Hellwig, Tierklinik Trillig

Kontrolluntersuchung nach vier Wochen / Bronchoskopie

Sie wird nach vier Wochen erneut vorgestellt. Wiederum hat sich der Husten nicht gebessert, die Dyspnoe scheint nochmals schlechter geworden zu sein. Das Allgemeinbefinden der Hündin ist mittlerweile auch etwas reduziert – Lola ist nicht mehr so belastbar wie in der Vergangenheit.

Röntgenologisch zeigt sich unverändert die interstitielle Verdichtung des Lungengewebes, der VHS liegt weiterhin bei 11,5. Das Blutbild und der CRP Wert der Hündin werden kontrolliert – es kann kein Hinweis auf einen entzündlichen Prozess gewonnen werden. Da die Ätiologie des Hustens weder eindeutig der dekompensierten Herzerkrankung zugesprochen werden kann, noch eine andere Ursache offensichtlich ist, entscheiden wir uns zur Durchführung einer Bronchoskopie mit BAL.

In der Endoskopie können als Hauptbefunde ein Trachealkollaps Grad 2 sowie ein Bronchialkollaps diagnostiziert werden. Die Bronchialschleimhaut erscheint geschwollen und verdickt, es sind nur geringe Mengen an weißen, zähen, schleimigen Auflagerungen erkennbar. Die zytolgische Untersuchung der BAL zeigt eine geringgradige eosinophile Entzündung, die bakteriologische Untersuchung bleibt steril.

Eine Parasitose als Ursache für die eosinophile Entzündung wurde im Vorfeld durch eine empirische Lungenwurmtherapie sowie durch eine Kotuntersuchung auf Lungenwürmer ausgeschlossen.

Da eine systemische Therapie mit einem Kortikoid aufgrund der fortgeschrittenen Mitralklappenerkrankung nicht in Frage kommt, entscheiden wir uns zur Durchführung einer Inhalationsbehandlung. Lola soll 2 x täglich mit Viani® (Fluticason, Salmeterol) inhalieren.

Rezidiv Lungenödem

Lola wird wenige Wochen nach Start mit der Inhalationstherapie erneut in der Klinik vorgestellt. Sie hustet seit zwei Tagen wieder deutlich vermehrt und hat verstärkte Atemnot entwickelt. Die Besitzerin der Hündin hat die Furosemid-Dosis in den vergangenen Tagen bereits verdoppelt - dies hat aber nur eine vorübergehende Besserung gebracht.

Die Hündin wird röntgenologisch und sonographisch kontrolliert – die Lunge ist erneut verdächtig für das Vorliegen eines interstitiellen Lungenödems, die Rückflussgeschwindigkeit über der Trikuspidalklappe liegt jetzt bei 3,8 m/s. Die linksventrikulären Messungen sind nur unwesentlich schlechter geworden als bei der letzten Messung vor acht Wochen.

LVIDd-I

2,2

LVIDs-I

1,1

LA/Ao B-Bild

2,1

LA/Ao M-Mode

2,6

Die Therapie wird wie folgt angepasst:

- Erhöhung Sildenafil auf 3 x tgl. 1,1 mg/kg

- Terbutalin Injektionen bei hgr. Atemnot

- Erhöhung Furosemid auf eine Tagesdosis von insg. 5 mg/kg

- Lanitop 0,1 mg 2 x tgl. ½ Tablette

- HCT 25 mg: 2 x tgl. ¼ Tablette

- Aminophyllin absetzen

- bei nicht-stillbarem Husten Codein

Verlauf

Lola wird in der Folge regelmäßig zu Kontrollen vorgestellt. Es zeigt sich, daß die Hündin trotz vergleichsweise stabiler linksventrikulärer und linksatrialer Messwerte immer wieder Stauungsprobleme zeigt, und ihr Husten – trotz der parallel bestehenden Begleiterkrankungen – häufig die Folge von Lungenödemen ist. Um in Phasen von besonders starker Atemnot einen schnelleren und stärkeren Entwässerungseffekt zu haben, wird sie auf Furosemid-Injektionen umgestellt, auf die sie sehr viel besser anspricht. Orales Furosemid wird nach einigen Monaten abgesetzt – die Hündin wird auf Torasemid oral (0,3 mg/kg) umgestellt, und erhält ein bis zwei intramuskuläre Furosemid-Boli täglich, wenn ihre Atemfrequenz über 40/Minute steigt. Zu diesem Zeitpunkt zeigt sie folgende Messwerte:

VHS

12,5

LVIDd-I

2,2

LVIDs-I

1,1

LA/Ao B-Bild

3,3

LA/Ao M-Mode

2,6

TR

3,4 m/s

Die Nieren- und Elektrolytwerte der Hündin werden nach Start mit HCT regelmäßig kontrolliert und verändern sich wie erwartet, so dass auch Kalium oral substituiert werden muss. Der Creatinin-Wert steigt niemals über 3 mg/dl.

Diskussion

Lola ist eine Patientin, die mehrere Husten- und Dyspnoe-assoziierte Erkrankungen zeigt. Im Laufe der Untersuchungen sind bei ihr folgende Diagnosen gestellt worden:

- Dekompensierte Mitralklappenerkrankung

- Pulmonale Hypertension

- Tracheal- und Bronchialkollaps

- Chronische Bronchitis

Die Schwierigkeit in der Diagnostik und Therapie einer solchen Patientin liegt in der Gewichtung der einzelnen Erkrankungen und in der Kombination der einzelnen therapeutischen Ansätze. Nicht jede Medikation ist unter Berücksichtigung der parallel vorliegenden anderen Erkrankungen möglich, so dass Abstriche bei der optimalen Versorgung der jeweils einzelnen Erkrankung gemacht werden müssen.

Häufig resultiert das in diagnostischen Versuchstherapien, durch die man Information darüber bekommt, welches der parallel vorliegenden Probleme aktuell für die klinische Problematik verantwortlich ist. Ausschließlich anhand der Auswertung von Messwerten ist diese Information in vielen Fällen nicht zu erlang