Ureteronephrektomie bei einem Kaninchen mit hochgradiger Hydronephrose infolge einer Ureterolithiasis

Erkrankungen der Harnwege gehören zu den häufigen internistischen Problemen beim Kaninchen. Während Blasenurolithen regelmäßig diagnostiziert werden, sind Ureter- und Nierensteine deutlich seltener beschrieben und werden häufig übersehen. Dieser Fallbericht beschreibt die Ureteronephrektomie bei einer hochgradigen Hydronephrose infolge einer Ureterolithiasis.

Signalement und Anamnese

Ein drei Jahre altes, weibliches, nicht kastriertes Kaninchen (Roter Burgunder) wurde mit rezidivierender Anorexie, Apathie und vermindertem Kotabsatz vorgestellt. Anamnestisch fiel ein seit 14 Tagen wechselhaftes Allgemeinbefinden mit schwankender Futteraufnahme und Rückzug auf, zuletzt mit deutlicher Verschlechterung.

Klinische Untersuchung und Diagnostik

Hauptbefunde waren ein deutlich schmerzhaftes Abdomen sowie eine rektale Körpertemperatur von 40,0 °C. Weitere klinische Befunde waren unauffällig. Der Patient wurde stationär aufgenommen. Die Blutuntersuchung ergab eine geringgradige Hypophosphatämie (0,9 mmol/l; Ref. 1,2–2,0 mmol/l). Alle weiteren Parameter, einschließlich Kreatinin und Harnstoff, lagen im Referenzbereich.

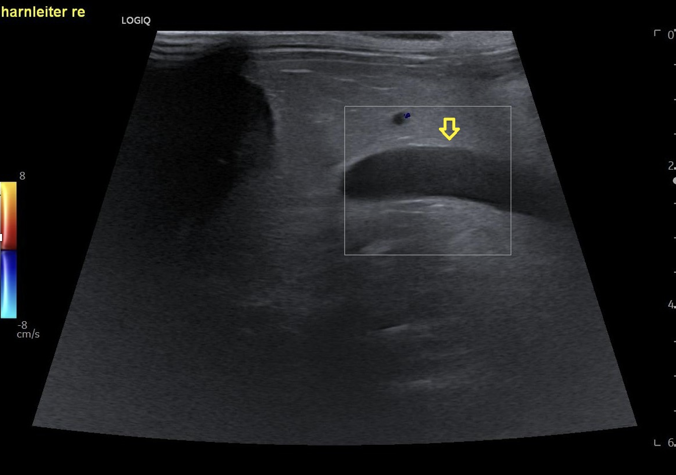
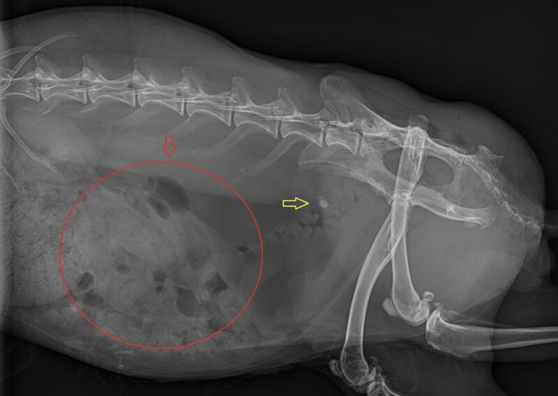
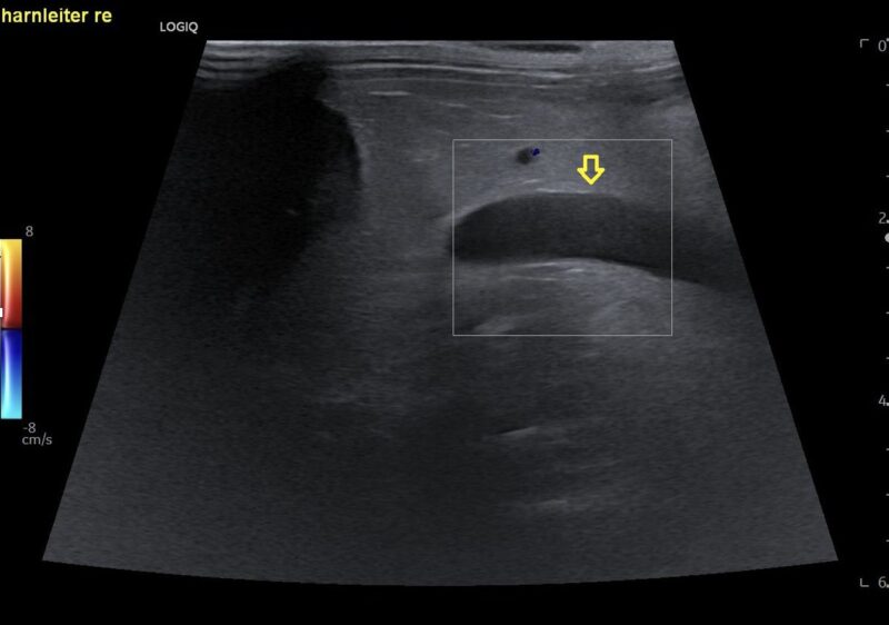
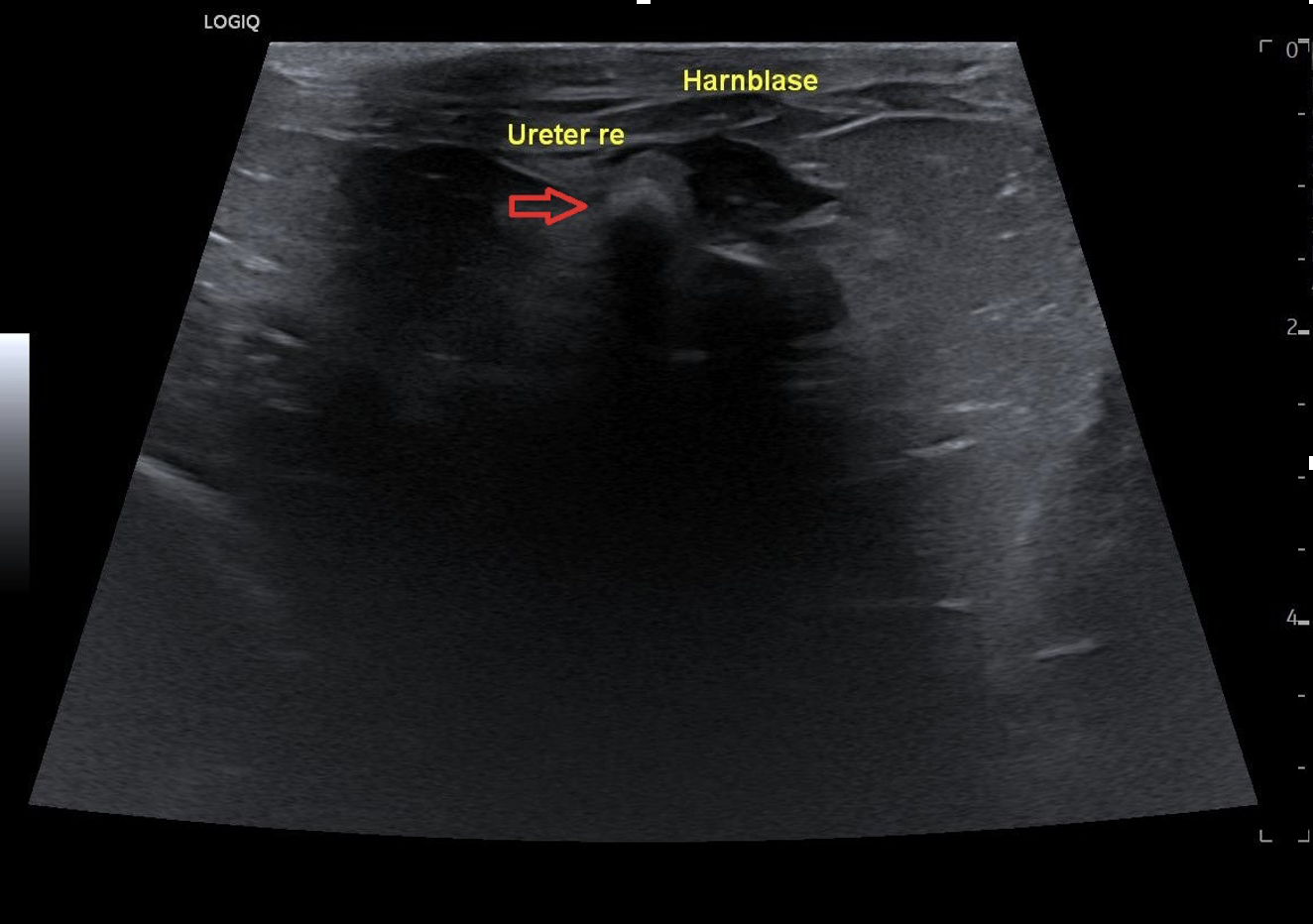
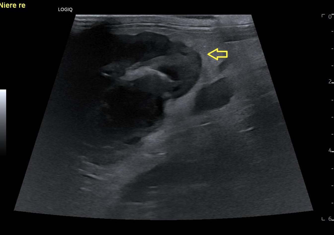
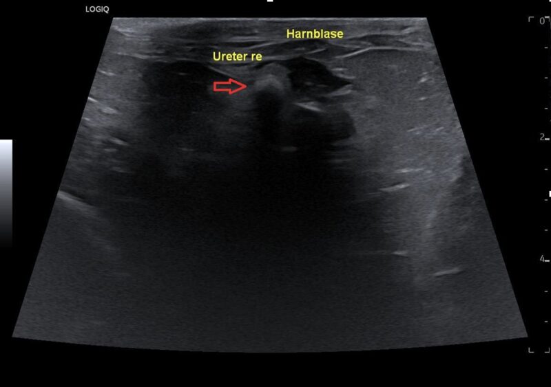
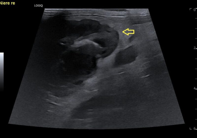
Die Röntgenuntersuchung zeigte eine weichteildichte Masse im rechten mittleren Abdomen sowie eine radiodichte Struktur dorsal der Harnblase. Die Sonographie ergab eine deutlich veränderte rechte Niere mit hochgradiger Hydronephrose sowie eine ausgeprägte Peritonealreaktion. Der rechte Ureter war stark dilatiert mit einer schallschattenbildenden Struktur kurz vor der Einmündung in die Harnblase. Die linke Niere sowie der linke Ureter waren sonographisch unauffällig. Auf Basis dieser Befunde wurde die Diagnose einer hochgradigen rechtsseitigen Hydronephrose sekundär zu einer Ureterolithiasis gestellt.

Therapie und chirurgisches Vorgehen

Die initiale konservative Therapie umfasste Ringer-Laktat (2 ml/kg/h), Maropitant (1 mg/kg s.c.), Metamizol (70 mg/kg s.c.), Enrofloxacin (10 mg/kg s.c.) und Metoclopramid (0,5 mg/kg s.c.). Wegen fehlender klinischer Besserung und persistierender abdominaler Schmerzhaftigkeit mit deutlicher Peritonealreaktion bestand der Verdacht auf eine Pyelonephritis. Nach Rücksprache mit der Besitzerin erfolgte die Ureteronephrektomie.

Die Prämedikation erfolgte mit Methadon (0,5 mg/kg i.m.), Dexmedetomidin (0,1 mg/kg i.m.) und Midazolam (0,5 mg/kg i.m.). Nach Narkoseeinleitung mit Propofol (nach Effekt i.v.) und endotrachealer Intubation (2,0 mm Tubus) wurde die Anästhesie mit Isofluran in Sauerstoff aufrechterhalten. Die intraoperative Analgesie wurde durch Fentanyl-Boli (0,03 mg/kg i.v.) ergänzt. Das Monitoring umfasste EKG, Kapnographie, Pulsoxymetrie sowie eine intraarterielle Blutdruckmessung.

Es wurde eine mediane Laparotomie durchgeführt. Der Ureterolith war palpierbar, aber nicht mobilisierbar. Die rechte Niere wurde aus dem retroperitonealen Gewebe freipräpariert. Nierenarterie und -vene wurden dargestellt und ligiert. Der Ureter wurde bis zur Einmündung in die Harnblase freipräpariert, dort ligiert und durchtrennt. Es erfolgte ein routinemäßiger Wundverschluss.

Postoperativ erhielt das Kaninchen eine analgetische Therapie mit Buprenorphin (0,03 mg/kg i.v.) und Metamizol (70 mg/kg s.c.). Niere, Ureterolith und eine Bakteriologie aus dem Nierenbecken wurden zur Untersuchung eingesandt.

Postoperativer Verlauf

Die Steinanalyse ergab einen Kalziumoxalat-Urolithen. In der bakteriologischen Untersuchung wurde Enterococcus faecalis (sensibel auf Enrofloxacin) nachgewiesen. Die histopathologische Untersuchung ergab eine hochgradige chronische erosiv-ulzerative Ureteritis sowie eine hochgradige heterophile Pyelonephritis mit Nierenbecken-Dilatation, Infarkten und bakteriellen Kolonien. Klinisch zeigte das Kaninchen postoperativ Inappetenz und ein reduziertes Allgemeinbefinden. Blutuntersuchungen ergaben eine Azotämie, die sich unter Therapie auf 2,4 mg/dl besserte, jedoch keine Normalisierung erreichte.

Zusätzlich entwickelte sich eine ischämische Nekrose der rechten Ohrmuschel im Bereich der Blutdruckmessung, vermutlich infolge einer thrombotischen Komplikation. Trotz Intensivtherapie mit Ringer-Laktat (3 ml/kg/h), Metoclopramid (0,5 mg/kg s.c. TID), Enrofloxacin (10 mg/kg s.c. SID), Metamizol (70 mg/kg s.c. TID) und Buprenorphin (0,03 mg/kg s.c. QUID), blieb die Futteraufnahme gering, weshalb eine Zwangsfütterung (Critical Care) erfolgte. Die Ohrmuschelnekrose blieb stabil und bedurfte zu diesem Zeitpunkt keiner weiteren Therapie. Postoperativ blieb der Zustand trotz intensiver Therapie reduziert. Die Entlassung erfolgte auf Wunsch der Besitzerin. Laut Rücksprache mit der Haustierärztin wurde der Patient wenige Tage später aufgrund einer klinischen Verschlechterung euthanasiert.

Diskussion

Kaninchen mit Urolithiasis zeigen oft unspezifische Symptome wie Inappetenz und Apathie, was die Diagnose häufig verzögert. Röntgenuntersuchung und Sonographie ergänzen dabei die Diagnostik sinnvoll und ermöglichen, insbesondere bei kalziumhaltigen Urolithen, eine frühzeitige Erkennung [1].

Kalziumhaltige Urolithen stellen die häufigste Form der Urolithiasis beim Kaninchen dar. Ursache ist der besondere Kalziumstoffwechsel dieser Spezies, bei dem überschüssiges Kalzium unreguliert intestinal resorbiert und renal ausgeschieden wird. Faktoren wie Dehydratation, veränderter Urin-pH-Wert und Harnstase begünstigen die Bildung von Sludge und Urolithen [1]. Während bei erhaltener Funktion ureterotomische Verfahren oder Stents möglich sind [2,3], war im vorliegenden Fall aufgrund der massiven Nierenveränderungen und Peritonealreaktion die Ureteronephrektomie alternativlos [1]. Obwohl diese Operation beim Kaninchen nur selten beschrieben ist, zeigen einzelne Fallberichte eine grundsätzlich mögliche Langzeitüberlebensrate [4,5].

Das Auftreten einer postoperativen Azotämie trotz präoperativ unauffälliger Nierenwerte verdeutlicht die limitierte Aussagekraft einzelner Laborparameter und weist auf mögliche subklinische Funktionseinschränkungen sowie den Einfluss perioperativer Faktoren wie Anästhesie, Perfusionsveränderungen und Analgetikagabe hin [6]. Die Ohrmuschelnekrose kann lokal durch den Arterienkatheter bedingt sein [7]. Systemisch müssen jedoch die Azotämie, eine postoperative Hyperkoagulabilität oder – infolge der Pyelonephritis – eine septische Thromboembolie bzw. beginnende DIC als Auslöser betrachtet werden [1].

Zusammenfassend verdeutlicht dieser Fall, dass die Ureteronephrektomie eine wichtige therapeutische Option darstellt, die Prognose bei einer eitrigen Pyelonephritis jedoch sehr vorsichtig zu stellen ist. Eine frühzeitige Diagnose hätte im vorliegenden Fall potenziell die Erfolgsaussichten verbessert. Das klinische Outcome hängt jedoch maßgeblich von der Kompensationsfähigkeit der verbleibenden Niere sowie vom Management schwerwiegender postoperativer Komplikationen ab.

Fazit für die Praxis

Die Ureterolithiasis erfordert bei unspezifischer Symptomatik eine frühzeitige Diagnostik, wobei die Ureteronephrektomie bei irreversiblen Schäden eine indizierte, aber prognostisch sehr vorsichtige Therapieoption darstellt. Entscheidend für das Outcome sind die Funktionsreserve der verbleibenden Niere sowie das Management potenziell schwerwiegender systemischer Komplikationen.

Literaturverzeichnis

  • [1] Meredith A, Lord B, British Small Animal Veterinary Association, et al., Hrsg. BSAVA manual of rabbit medicine. Quedgeley, Gloucester: British Small Animal Veterinary Association; 2014
  • [2] Rembeaux H, Langlois I, Burdick S, et al. Placement of ureteral stents in three rabbits for the treatment of obstructive ureterolithiasis. Journal of Small Animal Practice 2021; 62: 489–495.
  • [3] Keeble E, Eatwell K, Longo M, et al. Medical management of a unilateral obstructive ureterolith in a pet rabbit (Oryctolagus cuniculus). Vet Record Case Reports 2020.
  • [4] Rhody JL. Unilateral nephrectomy for hydronephrosis in a pet rabbit. Vet Clin North Am Exot Anim Pract 2006; 9: 633–641.
  • [5] Engels M, Soutullo ID. [Nephrectomy in a rabbit with renal adenocarcinoma]. Tierarztl Prax Ausg K Kleintiere Heimtiere 2024; 52: 324–329.
  • [6] Tahas SA, Pope J, Denk D, et al. Diagnostic challenges and surgical treatment of hydroureteronephrosis in a rabbit (Oryctolagus cuniculus). Veterinary Record Case Reports 2017; 5: e000379
  • [7] Schroeder CA, Smith LJ. Respiratory rates and arterial blood-gas tensions in healthy rabbits given buprenorphine, butorphanol, midazolam, or their combinations. J Am Assoc Lab Anim Sci 2011; 50: 205–211