Der Übergangswirbel beim Hund

Referent: Dr. Sebastian Knell, Dipl. ECVS, Oberarzt Chirurgie Vetsuisse-Fakultät der Universität Zürich

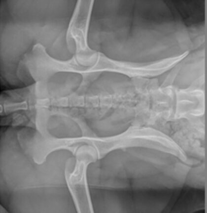
Eine häufige Diagnose nach der HD Beurteilung ist ein Übergangswirbel. Jeder redet davon aber was ist das eingentlich? Warum ist ein zusätzlicher Lenden- oder Sakralwirbel problematisch? Man redet von einer vererbbaren Veränderung. Aber was bedeutet das für diesen Hund und kann eine Erkrankung vermieden werden? Was bringt mir eigentlich ein Röntgenbild? Und braucht es ein MRI oder eine Überweisung zum Neurologen?

Ziel dieses vetinars soll sein, den Übergangswirbel mit einem klinischen Hintergrund zu klassifizieren. Welche Erkrankung kann folgen, und wie merke ich das klinisch? Weithin wollen wir uns ein paar Insights aus der Behandlung anschauen, wie man früh oder auch später intervenieren kann und ob eine chirurgische aber auch medikamentelle Therapie notwendig ist.

Nutzbar bis 11.11.2026