Online-Seminar: Malignes Lymphom beim Hund

Die „Multizentrische Form“

Referentin: Dr. Franziska Hergt, Dipl. ECVIM-CA (Medical Oncology), Kleintierspezialisten Berlin

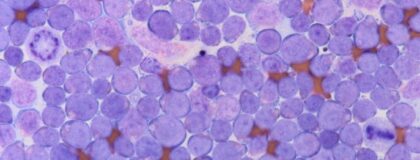
Das maligne Lymphom ist ein hämatopoetischer Tumor und zeichnet sich durch eine klonale Proliferation von lymphatischen Zellen aus. Die multizentrische Form des malignen Lymphoms ist mit Abstand die am häufigsten diagnostizierte Form beim Hund. Die Patienten werden in der Regel mit nicht schmerzhaften, vergrößerten peripheren Lymphknoten vorgestellt. In den meisten Fällen kann die Verdachtsdiagnose mittels zytologischer Untersuchung einer Feinnadelaspirationsbiopsie bestätigt werden. Die multizentrische Form des malignen Lymphoms lässt sich gut mit einer systemischen Chemotherapie behandeln. Damit können Überlebenszeiten von ca. 15 Monaten erreicht werden.

In diesem vetinar werden neben der Klinik, prognostische Faktoren sowie verschiedene chemotherapeutische Protokolle besprochen.

Nutzbar bis 07.11.2026.