Zahnfraktur bei Labradorhündin Mia

Abendliche Routine für Mia und ihr Frauchen: nach der letzten Gassirunde geht es ins Bad zum Zähneputzen, erst Frauchen, dann ist Mia dran. Sie kennt das von klein auf und lässt Frauchen brav putzen, denn sie weiß: im Anschluss gibt es immer etwas Leckeres. Heute putzt Frauchen an einem der Backenzähne etwas länger, begutachtet, vergleicht mit der anderen Seite und stellt fest: da fehlt ein Stück am linken Oberkieferreißzahn. Mia hat das Knacken heute schon gemerkt, als sie mittags im Wald mit einem Hartholz-Stöckchen gespielt hat – aber deswegen mit den Spielen oder Fressen aufhören – das kommt für einen Labrador doch nicht in Frage. Zum Glück hat Frauchen die Fraktur entdeckt und macht einen Termin beim Tierarzt aus.

Beim Tierarzt: Die Voruntersuchung

Dass dem Zahn ein Stück fehlt, steht fest. Die Frage ist: muss die Fraktur versorgt werden - und wie schnell? Wenn die Pulpa, also Nerv und Blutgefäße, offensichtlich frei liegen, ist klar, dass der Zahn behandelt werden muss. Bei der Dringlichkeit spielt das Alter des Hundes eine entscheidende Rolle:

Bricht beim Welpen ein Milchzahn ab, können durch den relativ weiten Wurzelkanal hervorragend Bakterien in die tiefe wandern und Infektionen genau dort hervorrufen, wo sich gerade die bleibenden Zähne bilden und diese dauerhaft schädigen. Zudem werden die Wurzeln erkrankter Milchzähne oft nicht mehr oder nur unzureichend resorbiert, und der Milchzahn fällt so unter Umständen nicht mehr aus. Die Folge ist, dass der folgende adulte Zahn nicht durchbrechen kann und im Kiefer verbleibt oder er versucht auszuweichen, so dass es zu einer Zahnfehlstellung kommt. Um dem Welpen die besten Chancen auf ein gesundes bleibendes Gebiss zu ermöglichen, sollte der abgebrochene Milchzahn also zeitnah gezogen werden.

Anders sieht die Sache beim jungen Hund unter neun Monaten aus: hier ist eine Fraktur an einem strategisch wichtigen Zahn (v. a. Eck- und Reißzähne) immer ein Notfall und sollte innerhalb von 48 Stunden versorgt werden. Durch eine Vitaltherapie (Entfernung der infizierten Pulpa und Kunststoffabdeckung des offenen Wurzelkanals) besteht die Möglichkeit, den Zahn am Leben zu erhalten. Als Alternative gibt es nur die Extraktion.

Mia ist mit ihren elf Jahren wahrlich kein Junghund mehr, und ihre Zähne sind schon lange voll entwickelt. Beim adulten Hund besteht bei einer frischen Fraktur mit eröffnetem Wurzelkanal die Möglichkeit, eine Wurzelkanalfüllung durchzuführen. Frisch ist Mias Zahnfraktur, da ist sich Frauchen durch das tägliche Zähneputzen sicher. Ob der Wurzelkanal durch die Fraktur eröffnet wurde, lässt sich in vielen Fällen erst in Narkose ermitteln, denn eine Sondierung (das Einführen einer Sonde in den Zahn) wäre beim wachen Tier zu schmerzhaft. Vor der Narkose wird noch eine gründliche Allgemeinuntersuchung und eine Blutuntersuchung durchgeführt, um das Narkoserisiko zu bestimmen und die Narkose bestmöglich anzupassen.

Durch tägliches Zähneputzen können Besitzer Parodontalerkrankungen vorbeugen und frühzeitig Veränderungen im Gebiss ihres Tieres entdecken. Oft besteht bei frühzeitigem Eingreifen die Möglichkeit den Zahn nach einer Fraktur zu erhalten."

Dr. Kaline Pfaffendorf, Tierärztin

Zahnuntersuchung und -behandlung in Narkose

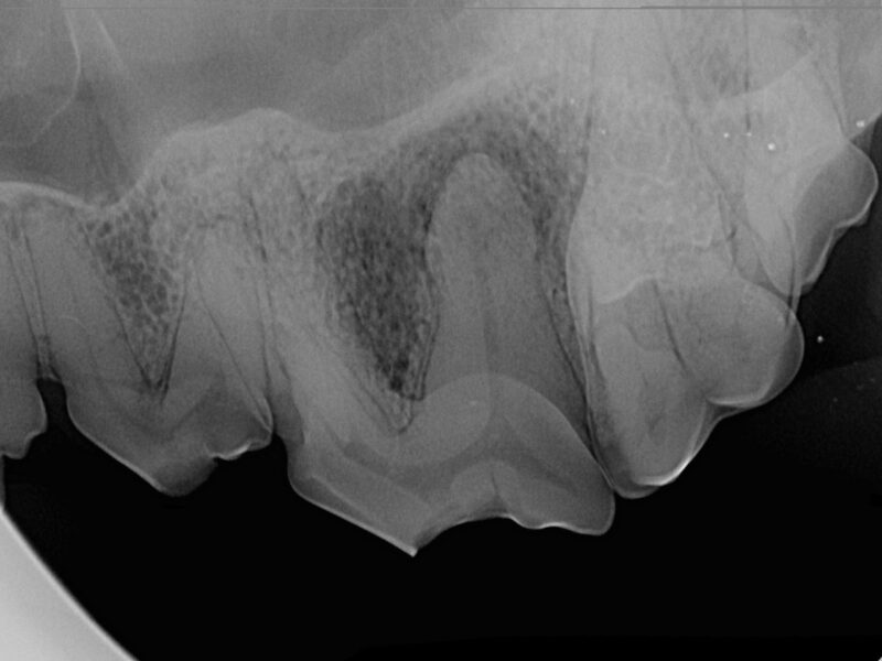
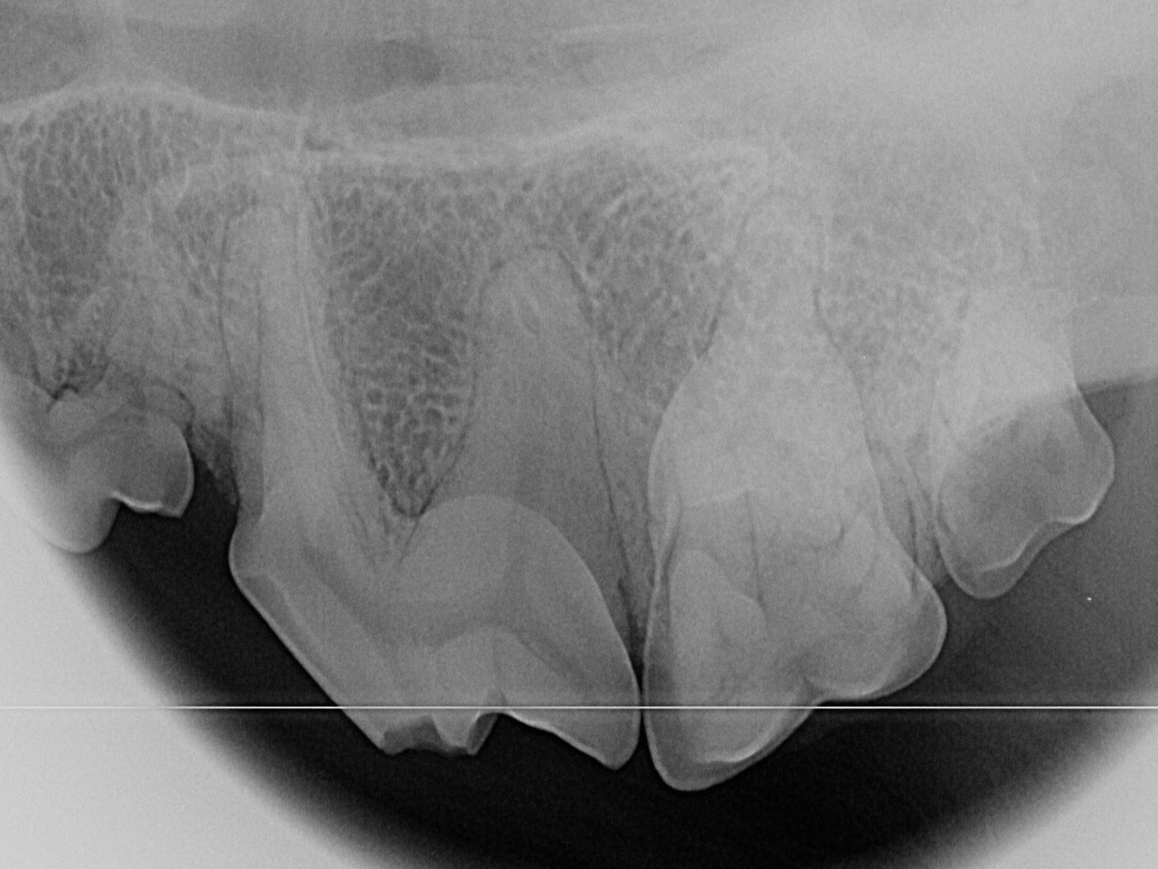
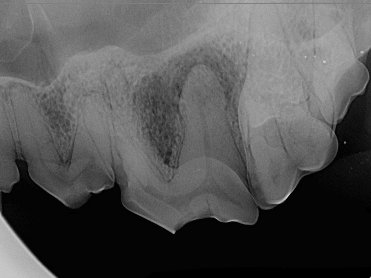
Zwei Wochen später ist es soweit: Mia wird zur Zahnstatuserhebung und Versorgung der Zahnfraktur in der Tierklinik vorgestellt. Nachdem sie in Frauchens Armen friedlich einschläft geht es in den Zahn-OP. Zuerst werden die Zähne mittels Ultraschall von Zahnstein und Plaque befreit. Im Anschluss werden - wie auch bei uns beim Zahnarzt - alle Zähne sondiert und geröntgt. Fast 30% aller klinisch wichtigen Befunde sind bei Hunden nur auf Dentalröntgen zu erkennen; bei der Katze sind es sogar noch mehr. Nur so kann der Tierarzt die Narkose ausreichend nutzen um alle für das Tier schmerzhaften Probleme zu behandeln.

Bei Mia gibt es außer der bekannten Zahnfraktur des linken Oberkieferreißzahns (Prämolarer 4) keine Auffälligkeiten. Bei der Sondierung und Betrachtung der Bruchkante mit der Lupenbrille zeigt sich, dass noch eine ganz feine Schicht Zahnsubstanz (Dentin) Mias Wurzelkanal bedeckt. Das Dentin bietet zwar noch einen gewissen Schutz, im Gegensatz zum Zahnschmelz (der beim gesunden Zahn die äußerste Schicht der Zahnkrone bildet) hat es jedoch feine Kanälchen durch die Bakterien eindringen könnten. Im Röntgenbild zeigt sich bisher kein Hinweis für eine bestehende Infektion, und zusammen mit der Besitzerin wird entschieden, dass Mia den Zahn erstmal behalten darf, aber in sechs Monaten erneut zur Zahnröntgenkontrolle kommen muss. Da die feine Dentinschicht über dem Wurzelkanal weder vor Infektionen noch vor Umwelteinflüssen schützt, wird die Bruchkante mit dem Bohrer geglättet und der Zahn mit Kunststoff versiegelt.

Nachdem alle Zähne poliert wurden darf Mia wieder aufwachen.

Nachsorge

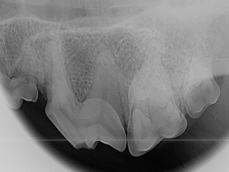
Sechs Monate nach der Versiegelung wird Mia nochmals in der Klinik vorgestellt, um den versiegelten Zahn in Narkose zu röntgen. Auch wenn zum Zeitpunkt der Versiegelung keine Anzeichen für eine Infektion des Wurzelkanals bestand, kann nicht ausgeschlossen werden, dass bereits Bakterien eingedrungen waren. Sollte das der Fall sein müsste man sechs Monate später Anzeichen für eine Infektion auf den Röntgenbildern sehen.

Mia hat Glück gehabt - alles sieht so aus wie es soll, und sie kann ihren Reißzahn behalten. Die Besitzerin achtet ab jetzt darauf, Mia nichts kauen zu lassen, was ihren Zähnen schaden könnte. Hierbei gilt: alles, was nicht mit dem Fingernagel eingedrückt werden kann, ist zu hart.

Fazit

Die Zahnpflege durch den Besitzer ist ein wichtiger Grundstein zum Erhalt eines gesunden Hundegebisses. Das Zähneputzen ist nicht nur der beste Schritt in der Vorsorge gegen Plaque und Zahnstein, sondern lässt – wie in diesem Fall - den Besitzer auch frühzeitig Zahnprobleme erkennen. Oft besteht bei frühzeitigem Eingreifen die Möglichkeit den Zahn zu erhalten. Kein Zahntierarzt zieht gerne Zähne - für uns steht der Erhalt gesunder Zähne im Vordergrund. Führt eine Zahnerkrankung jedoch zu dauerhaften Schmerzen und Infektion für das Tier ist die Extraktion des Zahnes oft die einzige Möglichkeit um die Gesundheit und Lebensqualität unseres Vierbeiners wiederherzustellen.

Richtig Zähne putzen: