Tumor gleich Todesurteil?

Frida ist eine ganz besondere Hundedame. Man hört die Hundedame im Allgemeinen, bevor man sie sieht. Lautstark quietschend tut sie ihre Begeisterung kund, zum Tierarzt zu dürfen. Sie ist ein Ausbund an Fröhlichkeit, hüpft umher wie ein Flummi und kriecht in jeden hinein. Selbst in den Tierarzt. Ist auch mal ein schönes Gefühl. De facto ist Frida eine elf Jahre alte spanische Wasserhündin und eigentlich seit zwei Jahren tot!

Sie hatte keinen leichten Start. Mit vier Jahren hat sie sich die Pfoten bis auf das rohe Fleisch wundgeleckt. Dies wurde erst besser, als sie sehr strenge Pferdefleisch- und Möhrendiät gehalten hat. Sie war immer ein eher nervöses Hemd, hat auf alles überreagiert: Impfungen, Zecken, Insektenstiche, der typische Allergiker. Mit Geduld, bzw. mit geduldigem Immunaufbau, Entsäuerung, Entgiftung, Bachblüten sowie Aromatherapie hat sich Frida stabilisiert. Sie frisst sogar wieder Schonkost-Hundefutter. Die Haut ist seit Jahren kein Problem mehr, geimpft wird sie allerdings nur im Notfall: da reagiert sie immer sehr heftig und ist richtig krank.

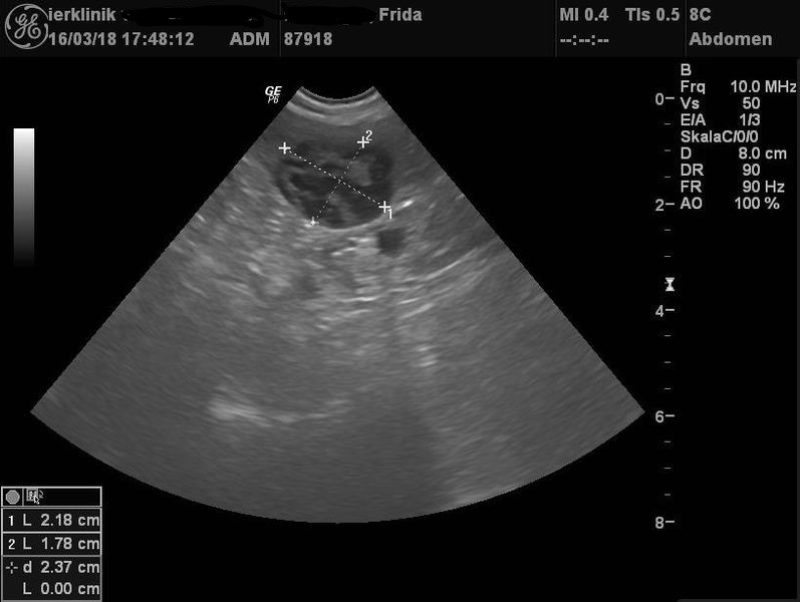
Anfang 2017 ging es Frida dann richtig schlecht. Sie wurde in einer Klinik zur Ultraschalluntersuchung vorgestellt. Das Ergebnis war niederschmetternd: Tumoren an Leber und Milz. Und dies auch noch in einem Umfang, dass die Klinik gleich zur Euthanasie geraten hat. Zu Fridas Glück wollten ihre Besitzer dies aber nicht und haben sich mit ihrem Haustierarzt, Dr. Schabel, in Verbindung gesetzt.

Tumoren sind nicht automatisch ein Todesurteil!

Seitdem wird Frida von uns intensiv betreut. Tumoren sind nicht automatisch ein Todesurteil, der Körper versucht auch hier, ein Problem in den Griff zu bekommen. Seit ihrer Diagnose kommt sie nun in den Genuss der Vitalfelddiagnostik und -therapie. Dies ist in der Tiermedizin ein noch wenig bekanntes Verfahren, um energetische Störungen im Körper zu diagnostizieren und auf energetischer Ebene auch gleich zu behandeln. Hierbei wird auf physikalisch nachweisbarem Weg über Elektroden die Eigenschwingungen des Körpergewebes zunächst gemessen. Danach wird ausgewertet, wo die Schwingungen von Normalwerten abweichen und zum Schluss Schwingungsmuster unterschiedlicher Frequenz wieder über Elektroden auf den Körper übertragen. Es kommt dadurch zur Regulation von pathologischen Abläufen in sehr effektiver Weise. Die Applikationen von Frequenzen, die exakt auf den Bedarf des Patienten abgestimmt sind, bewirken so Gesundung und Abklingen der Symptome. Unser Vitalfeldsystem ist in der Lage, eine Frequenzmodulation van 1 Hz bis zu 4 Giga-Hz zu generieren. Das Ganze erfolgt in völliger Ruhe, ohne Stress und völlig schmerzfrei.

Zwei Jahre nach der Euthanasieempfehlung führt die Spanische Wasserhündin ein glückliches und gutes Hundeleben."

Dr. Lenore Nett, Kleintierpraxis Dr. Schabel

Ferner wird sie je nach Bedarf und Vitalfelddiagnose mit Nahrungsergänzern (Vitamin C, Vitamin B-Komplex), homöopathischen Komplexmitteln von Heel und Plantavet, sowie Heilmitteln von Vitorgan und Sanum-Kehlbeck unterstützt. Homöopathische Komplexmittel enthalten verschiedene homöopathische Inhaltsstoffe, die nach den Regeln des homöopathischen Arzneibuches potenziert und nach dem anthroposophischen Verständnis der Heilmittelfindung zu einer Komposition zusammengestellt wurden. Das bedeutet, dass zum Teil unterschiedliche pflanzliche, tierische oder mineralische Bestandteile aber auch unterschiedliche Potenzen miteinander kombiniert werden.

Die Firma Vitorgan hat sich auf die Entwicklung organhomöopathische Arzneimittel spezialisiert, die auf physiologischer Ebene erkrankte Organe und Zelldefekte durch die individuelle Zufuhr von Biomolekülen entsprechender gesunder Zellen regulieren und normalisieren. Durch diese Induktionsstimuli wird die Zelle umgestimmt und kann ihre maximale Synthesekapazität wieder voll nutzen. Selbstheilungsmechanismen werden in Gang gesetzt und die Patienten somit nicht nur symptomatisch, sondern kausal behandelt. Sanum-Kehlbeck hat sich auf die Herstellung isopathischer Therapeutika spezialisiert, die den Körper unterstützen, pathogene Organismen entweder auszuscheiden oder in apathogene Symbionten zurück zu verwandeln. Somit wird das Symbiosegleichgewicht zwischen Wirt (also Patient) und Symbiont (in Wirtszellen lebende Organsimen) wiederhergestellt.

Sauerstoffversorgung durch Ozon-Behandlung

Gelegentlich wird bei Frida auch eine Ozonbehandlung durchgeführt, um die Sauerstoffversorgung des Körpers zu verbessern. Hierbei wird ein Ozon-Sauerstoff-Gemisch über eine Sonde rektal in den Darm gegeben. Das führt zum einen zu einer Desinfektion darmpathogener Keime, zum anderen regt es die Darmschleimhaut zu Neubildung von Zellen an. Ein Großteil wird aufgenommen und erhöht die Sauerstoffbindungsfähigkeit der roten Blutkörperchen um ein Vielfaches: der Körper bekommt quasi eine Sauerstoffdusche.

Alle aufgeführten Therapien wirken biologisch regulativ und werden von uns bereits seit mehr als 30 Jahren eingesetzt. So können wir den Einsatz von schulmedizinischen Arzneien und ihrer entsprechenden Nebenwirkungen auf ein Minimum reduzieren und dafür die natürlichen Wirkkräfte der oben genannten biologischen Therapien zum Wohle unserer Patienten optimal einsetzen.

Der intensive Aufwand hat sich bisher mehr als gelohnt: Frida ist fit wie ein Turnschuh. Die sonographische Kontrolluntersuchung drei Monate nach Diagnosestellung zeigten auch eine Verkleinerung des Milztumors um rund ein Viertel. Wir sind alle glücklich, dass unser Sonnenscheinchen nun schon seit zwei Jahren nach Euthanasieempfehlung ein glückliches und gutes Hundeleben führt.