Grauer Star beim diabetischen Hund

Hayta, eine 8-jährige Labrador-Retriever-Hündin kam zu uns, weil sie innerhalb von zwei Wochen vollständig erblindet war. Außerdem waren Haytas Besitzer beunruhigt, weil ihre Pupillen plötzlich ungleich groß waren. Drei Monate zuvor wurde bei ihr ein Diabetes mellitus festgestellt.

Bei der Augenuntersuchung wurde die Ursache der Erblindung schnell klar, Hayta hat einen grauen Star (Katarakt) auf beiden Seiten. Die Ursache des grauen Stares ist bei Hayta ihre Zuckerkrankheit. Hunde, die an Diabetes leiden, haben ein sehr hohes Risiko, am grauen Star zu erkranken! Dieser wird von den anhaltend hohen Blutzuckerwerten ausgelöst, die zu einer veränderten Verstoffwechselung der Glukose innerhalb der Linse führen. Typisch für diesen sogenannten diabetogenen grauen Star ist seine rasante Entstehung. Diabetische Hunde erblinden nicht selten innerhalb von 1-2 Wochen. Dabei trübt sich die Linse nicht nur vollständig ein, sondern quillt auch im Krankheitsprozess stark auf. Infolge der rasanten Entwicklung kann es passieren, dass die Linsenkapsel einreißt und Linsenmaterial freigesetzt wird. Um das zu vermeiden, ist bei diabetischen Hunden eine sehr zeitnahe Therapie entscheidend.

Was hat es mit den ungleich großen Pupillen auf sich?
Hayta hat auf beiden Seiten eine innere Augenentzündung. Dies ist eine typische Begleiterscheinung des grauen Stares. Je schneller die Linsentrübung voranschreitet, desto stärker fällt diese Entzündung aus. Die innere Augenentzündung äußert sich unter anderem durch eine enge Pupille. Da die linke Seite besonders stark entzündet war, ist hier die Pupille so eng.

Grauer Star raus - Kunstlinse rein
Die Therapie erfolgt ähnlich wie beim Menschen mit einer Operation, die sich „Phakoemulsifikation“ nennt. Dabei wird der trübe Linseninhalt mit einer Ultraschallsonde zerkleinert und entfernt. Der klare Linsenkapselsack verbleibt im Auge und dient als ‚Tasche‘ für die Kunstlinse. Diese wird in den Linsenkapselsack eingebracht und verbleibt so in der richtigen Position innerhalb des Auges. Die Operation des grauen Stares ist derzeit die einzige Therapie, die das Sehvermögen wiederherstellt. Sie wird in Vollnarkose unter dem Operationsmikroskop durchgeführt.

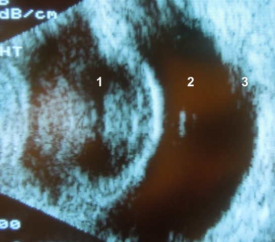
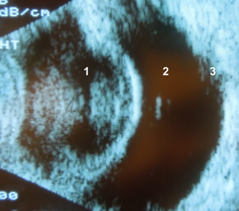
Augenultraschall vor der Operation
Vor der Operation muss ein Augenultraschall durchgeführt werden. Durch die trübe Linse kann der hintere Augenabschnitt bei der Augenuntersuchung nicht mehr gesehen werden. Mittels Augenultraschall ist eine Beurteilung aber möglich und vor der Operation unerlässlich. Bei der Untersuchung geht es vor allem darum, Veränderungen zu erkennen, die die Operation beeinflussen können oder einer OP sogar entgegenstehen. Beispielsweise darf die Netzhaut nicht abgelöst sein. Von Interesse ist auch, ob die hintere Linsenkapsel intakt oder eingerissen ist. Besonders bei den schnell entstehenden diabetogenen grauen Staren kann es zu einem Riss in der Linsenkapsel kommen. Dies betrifft vor allem die dünnere hintere Linsenkapsel und ist deshalb nur mit dem Ultraschall erkennbar. In solchen Fällen ist es möglich, dass keine Kunstlinse eingesetzt werden kann (je nachdem, wo sich der Riss befindet). Das Sehvermögen ist aber nach der Operation auch ohne Einsatz einer Kunstlinse gut, die Tiere sind lediglich weitsichtig. Bei Hayta ergab die Ultraschalluntersuchung auf ihrem linken Auge den Verdacht auf eine eingerissene Linsenkapsel. Deshalb wurde mit ihren Besitzern schon vor der Operation besprochen, dass auf einer Seite vermutlich keine Kunstlinse eingesetzt werden kann.

Während der Operation

Während der Operation bestätigte sich der Verdacht der eingerissenen Linsenkapsel auf der linken Seite. Da dieser Riss so ungünstig gelegen war, wurde bei Hayta nur ins rechte Auge eine Kunstlinse eingesetzt und das linke Auge ohne Verwendung einer Kunstlinse operiert. Der Riss in der Linse erklärt auch, warum Haytas linke Pupille bei der Untersuchung so eng war. Die eingerissene Linse hat eine starke plötzliche innere Augenentzündung ausgelöst und diese wiederum hat die Pupillenengstellung verursacht.

Nach der Operation
In den ersten zwei Wochen nach der Operation musste Hayta mehrmals am Tag entzündungshemmende Augentropfen bekommen. Danach wird die Frequenz Stück für Stück reduziert. Das Sehvermögen kehrt schon in den ersten Tagen nach der Operation zurück. Besonders Diabetiker sollten nach dieser Operation gut beobachtet werden. Ihr Immunsystem ist schwächer als bei gesunden Patienten und es kann schneller beispielsweise zu Blasenentzündungen kommen. Diese wiederum können eine innere Augenentzündung auslösen. Hayta geht es sehr gut und es sind keine Komplikationen aufgetreten. Es gilt, je schneller operiert wird, desto besser ist der Verlauf. Abwarten erhöht das Risiko für Komplikationen. Wird dies berücksichtigt, ist die Prognose nach Operation des grauen Star beim diabetischen Hund sehr gut.