Kleines Berlock, große Wirkung! - "Goldimplantation bei Urmel"

Mix „Urmel“ wurde in der Türkei geboren. Ihr Alter und ihre Vorgeschichte sind unbekannt, vermutlich ist sie ungefähr acht Jahre alt, als sie uns im April 2017 vorgestellt wird. Ihre Geschichte beginnt im Herbst 2016 auf einer Baustelle der zweiten Bosporus-Brücke in Istanbul, wo sie ausgesetzt wird. Zu diesem Zeitpunkt kann sie kaum noch laufen. Für einen nun herrenlosen Hund bedeutet dies in der Türkei das sichere Ende. Zu ihrem Glück rettet sie die Tierfreundin Yasemin, bringt den Hund zu einem türkischen Arzt und lässt sie röntgen. Die Befunde sind niederschmetternd. Der Tierarzt kann ihr nicht helfen, so dass Yasemin die Röntgenbilder nach Deutschland schickt, mit Urmel hinterherfliegt und sie im Oktober 2016 in ein Tierheim bringt.

Euthanasie die einzige Option?
Im Tierheim jedoch geht es ihr in den folgenden Monaten kontinuierlich schlechter. Verschiedene Behandlungen scheitern. Sie läuft fast gar nicht mehr. Im April 2017 schließlich überlegt man sie einzuschläfern, wohl auch, weil sie so nicht zu vermitteln ist. Was ist Urmels Problem? Sie muss schon seit Jahren zunehmende Gelenk-Probleme haben, sie kippt immer wieder mit den Hinterbeinen seitlich weg. Infolge einer stationären Patellaluxation ist eine Kontraktur der Beugemuskulatur eingetreten. Das macht alles noch komplizierter. Laufen kann Urmel im Frühjahr 2017 eigentlich gar nicht mehr. Nur, wenn ihr jemand dabei hilft, schafft sie mit einer Tragehilfe ein paar Meter. Aber nie mehr als 50 Meter am Stück. Sie ist zu schwach. Für ihre Muskulatur hat der Teufelskreislauf bereits vor Monaten begonnen.

In diesem Film kann man sehen, wie Urmel im Tierheim im Frühjahr 2017 aussah:

Doch erneut hat Urmel Glück. Am Tag, als man im Tierheim Überlegungen anstellt, Urmel einzuschläfern, treten andere Menschen in ihr Leben, die uns erst einmal Röntgenbilder und einen Film von Urmel schicken. Da wir viele Kunden aus ganz Deutschland, aber auch aus dem Ausland haben, ist dies der übliche Weg des ersten Informationsaustausches. Er erspart unnötige Wege.

OP oder nicht OP? Das ist hier die Frage.
Wir sehen Urmels Problem realistisch und sind daher skeptisch. Natürlich kennen wir andere Hunde mit schweren Problemen im Bewegungsapparat, vielen von ihnen konnten wir helfen, zumindest ihre Schmerzen zu lindern. Urmels Fall ist aber durch die stationäre beidseitige Patellaluxation besonders kompliziert. Besser wäre es in unseren Augen, zuerst die Patellaluxation zu korrigieren. Aufgrund der bereits fortgeschrittenen Kontraktur ist das allerdings keine gewöhnliche OP. Auch deswegen empfehlen wir einen Kollegen in der Nähe dieser Menschen, der darauf spezialisiert ist, um den Fahraufwand für die Beteiligten zu minimieren. Urmels Betreuer besprechen das ausgiebig, diese Vorgehensweise wäre eine Lösung, das Tierheim stimmt einer Operation jedoch leider nicht zu. Somit entfällt diese Option.

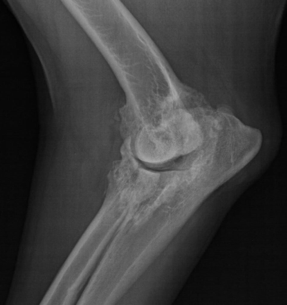
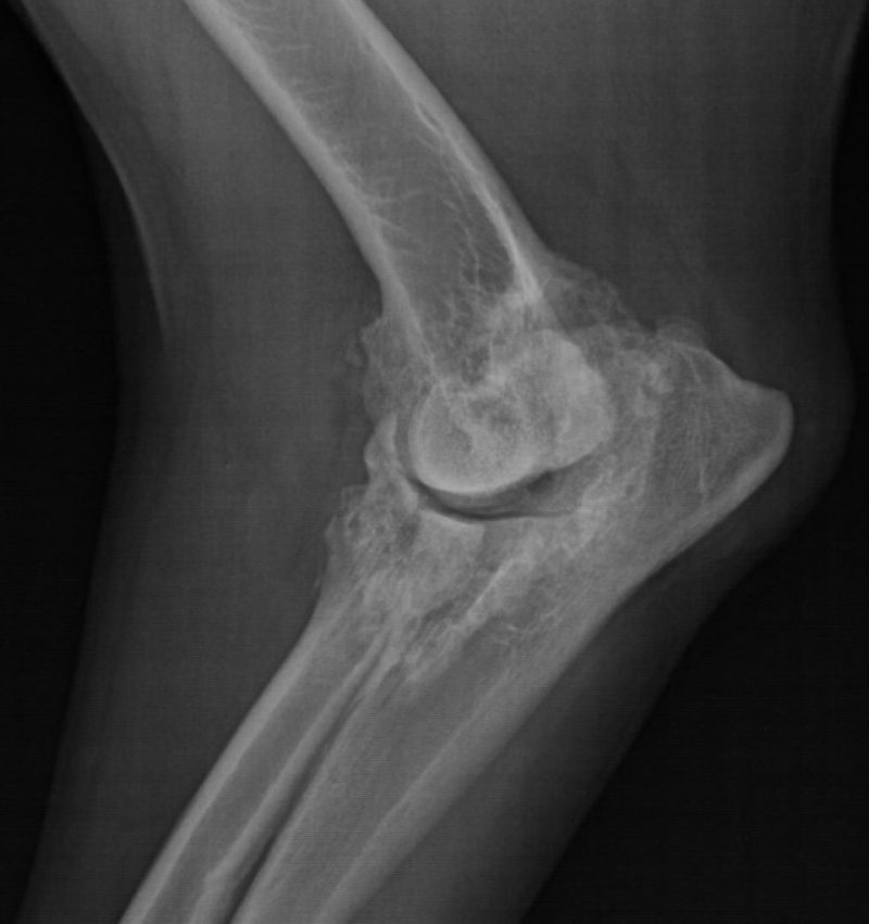
Nichts geht mehr? Urmels neue Menschen ergreifen den letzten Strohhalm. Ende April 2017 wird Urmel von ihrer Pflegerin Fatma nach Schweinfurt gefahren, um sie hier im Tiergesundheitszentrum näher zu untersuchen. Nach einer Gangbildanalyse (die bei einem so schwerfällig und nur mit Unterstützung einer Tragehilfe laufenden Hund natürlich nur eingeschränkt möglich ist) werden nach der anschließenden etwa zweistündigen orthopädischen Untersuchung aller Gelenke noch weitere Röntgenbilder von den Gelenken angefertigt, die in der Türkei nicht untersucht worden sind. Es zeigt sich, dass der Zustand noch schlechter ist als eh schon befürchtet: Urmel hat auch Arthrosen an der Wirbelsäule und weiteren Gelenken. Schließlich werden Urmel insgesamt 62 Berlock-Goldimplantate (das sind kleine spulenförmige Goldimplantate aus Dänemark) implantiert.

Goldimplantation, was ist denn das?
Bei der Berlock-Goldimplantation, unserem Tätigkeitsschwerpunkt, werden kleine Golddrahtspulen in Gelenknähe implantiert. Diese Methode gibt es schon seit 1970 - sie wurde in den USA entwickelt. Der dänische Tierarzt Klitsgaard führte die Methodik in Europa ein. Schnell fand er Nachahmer. Nicht mehr nachzuvollziehen ist, warum sich dann statt Goldimplantation (so war der ursprüngliche Begriff in den USA) der Begriff „Goldakupunktur“ in Deutschland etablierte. Fest steht, dass es sich bei „Goldakupunktur“ um einen Kunstbegriff handelt, da es inzwischen als erwiesen gilt, dass nur das Gold eine langfristige Wirkung am Gelenk entwickelt, kurzfristig wirkende Akupunkturpunkte jedoch zu vernachlässigen sind. Somit ist der Begriff Goldimplantation auch der für diese Methodik korrekte Begriff. Ziel einer Goldimplantation ist es, Entzündung und Schmerz zu lindern. Im Anschluss können zusätzliche auf den Einzelfall abgestimmte physiotherapeutische Übungen sinnvoll sein. Bei der von uns angewandten Implantationsform handelt es sich um die dänische Goldimplantationsmethode nach den beiden Tierärzten Klitsgaard und Gregersen. Seit 2009 arbeiten wir mit dieser modernsten Methode der Goldimplantation. Die Berlock-Goldimplantation ist die einzige Gold-Implantationsmethode, die auf Ergebnissen überprüfter wissenschaftlicher Untersuchungen basiert. Zuletzt konnte eine Studie der Universität Bern die sichere Anwendung bei der Implantation von Berlock belegen.

Warum Golddrahtspulen?

Nun, deren Oberflächengröße ist optimal, außerdem werden sie aufgrund ihrer flexiblen Beschaffenheit nicht so unangenehm im Gewebe empfunden wie andere Goldimplantate aus dickerem Draht. Warum direkt am Gelenk und nicht an - teilweise mehrere Zentimeter entfernt liegenden - Akupunkturpunkten? Je näher dieses 24-karätiges Feingold an der Arthrose positioniert wird, desto besser ist die Wirkung. Gold, das mehrere Zentimeter entfernt implantiert wird, hat nur eine unzureichende oder bald nachlassende Wirkung. Neuere Forschungsergebnisse zweifeln sogar an, dass „bei den Implantationen im Bereich von Akupunkturpunkten die Implantate diese Akupunkturpunkte tatsächlich stimulieren können“ (Dissertation von Andrea Deisenroth, TiHo Hannover 2014). Diverse Forschungsstudien zeigen, dass nachfolgend im Gewebe eine „Dissolucytose“ stattfindet. Über die Freisetzung von Goldionen werden Makrophagen beeinflusst, das Entzündungsgeschehen wird reduziert, der Schmerz nimmt ab. Die Größe der Reaktion hängt dabei von der Größe der Oberfläche des Goldimplantates ab. Bei den spulenförmigen Berlock ist diese Oberfläche besonders groß.
Im Bedarfsfall können Voruntersuchung und Goldimplantation im Tiergesundheitszentrum Schweinfurt an einem Tag durchgeführt werden. Der Eingriff ist bei entsprechender Erfahrung unkompliziert, die Patienten (Hunde und Katzen) können bereits am Folgetag wieder relativ normal belastet werden.

Bei Urmel werden alle Gelenke untersucht. Nur wenn alle relevanten Schmerzorte mit einbezogen werden, kann eine Goldimplantation zum Erfolg führen. Hätte man bei Urmel also z.B. nur die beiden Kniegelenke behandelt, wäre der Erfolg vermutlich gleich Null gewesen. Da es sich bei der Ursache einer Lahmheit meist um ein multifaktorielles Geschehen handelt, müssen auch alle schmerzenden Gelenke mit behandelt werden. Lässt man dabei nur ein Gelenk unbehandelt (oder übersieht es), scheitert die Behandlung.

Infolge einer Gewichtsverlagerung bei solchen an einem Gelenk schwer gehandicapten Hunden kommt es über die Monate zu Folgeschäden an anderen Gelenken. Diese Schäden können sich bis zu den Zehengelenken ausdehnen. Häufig sehen wir dabei Arthrosen an den Zehengrundgelenken. Nicht selten sind die Sesambeine dieser Zehen frakturiert, durch Überlastung richtiggehend zerbröselt. Gerade solche Schäden aber werden leider zu oft übersehen. Wird eine solche Sesambeinfraktur übersehen, lahmt der Patient trotz aller weiteren Maßnahmen meist weiter. Da nutzt auch die beste Rekonstruktion der Patella am Knie nichts.

Zurück bei ihrer Pflegestelle erholt sich Urmel schnell. Schon 14 Tage später kann sie erstmals ohne Unterstützung durch eine Tragehilfe selber laufen. Sie wälzt sich sogar wieder auf dem Rücken. In dieser Zeit entstehen diverse Filme, die den Fortschritt dokumentieren. Ok, es ist noch nicht alles perfekt, ihre Muskulatur ist im Sommer 2017 noch schwach. Aber es geht täglich aufwärts. Sie kann schon 1,5 Kilometer ohne Pause und Tragehilfe laufen, auch eine Treppe kommt sie wieder allein hoch. Das war vorher völlig unmöglich. Sie erhält mit einer Weste Schwimmtraining, um ihre Muskulatur weiter zu verbessern. Schmerzmittel braucht sie keine mehr. Die Goldimplantation war ein voller Erfolg. Weitere Filme vom Gangbild zeigen im Oktober 2017 den zügigen Fortschritt. Auch ihre Ernährung wird umgestellt. Ja, sie wird immer ein Hund mit Handicap bleiben, denn ihre Patella bleibt weiterhin luxiert, aber sie ist nun ein glücklicher Hund geworden. Sie nimmt aktiv am Leben ihres neuen Rudels teil.

Fazit: Wer hätte das im April 2017 gedacht. Trotz inzwischen 17 Jahren Erfahrung mit der Goldimplantation und mehreren tausend behandelter Gelenken ist dies ein Fall, der auch uns in Schweinfurt nahe geht und wieder einmal zeigt: Vorurteile sind unangebracht. Urmel lehrt uns, dass auch aussichtslos erscheinende Fälle ein gutes Ende nehmen können. Wir müssen in der Tiermedizin lernen, umzudenken. Eine Euthanasie kann in einem solchen Fall nicht die Lösung darstellen. Und wer hier immer noch von Placebo-Effekten spricht, kann Urmels Entwicklung nicht mit eigenen Augen gesehen haben.

Und wenn Urmel doch operiert worden wäre?
Ja, eine Operation der Patellaluxation hätte das Problem an den Kniescheiben auch behoben, aber leider eben nur dieses eine  von Urmels Problemen. Eine Auswirkung auf die Arthrosen und die damit verbundenen Schmerzen am Knie hätte eine Patellaluxations-OP nicht gehabt. Auf die Arthrosen an den anderen Gelenken hätte eine OP am Knie natürlich auch keinen Einfluss gehabt. Das Ergebnis wäre dementsprechend unbefriedigend gewesen.